6.1 C
Rīga
svētdien, 26 aprīlis, 2026
Home Blog Page 317

4 varianti, kā izveidot “vēlmju kolāžu” un nodot pasūtījumu Visumam!

sapni-664x456

Kolāžas ir viens no vizualizēšanas veidiem, kā “nodot Visumam savu pasūtījumu” jeb koncentrēt enerģiju uz savām vēlmēm un plāniem.

Ir vairāki kolāžu veidošanas veidi. Šeit ir minēti pāris varianti, ko varat izmantot savā ikdienā.

1. variants – veidot gleznu, ko var ierāmēt sarkanu toņu rāmī un turēt mājas dienvidaustrumos, noliekot to tur kādā no maģiskajām dienām.

2. variants – veidot savu “Burvju grāmatu” jeb kādā no maģiskajām dienām izvēlēties skaistu kladi, mapi vai skiču burtnīcu, kur iespējams kaut ko ielikt, ierakstīt, iezīmēt vai ielīmēt. Rodoties jaunai vēlmei, mēs to tur ieliekam kādā no maģiskajām dienām. Ja kāda no tur esošajām jau realizējusies, atzīmējam datumu. Var kopā ar datumu arī ierakstīt: “Pateicos par to!”

3. variants – veidot kolāžu datorā un to izmantot kā sava datora “darba virsmu”.

4. variants – veidot vēlmju kolāžu uz lielās lapas – par šo variantu vairāk.

Nepieciešams stingrāks papīrs no A3 līdz A1 izmēram (atkarībā no vēlmēm un vietas).

Krāsu labi izvēlēties spilgtu. Ieteicama sarkana, jo tā ir atbilstošās vietas mērķu krāsa.

Meklējam dažādas bildītes ar lietām, ko vēlamies. Jo vairāk nianses un sīkumi, jo labāk.

Bildes labi izvēlēties taustāmas, izgrieztas. Ja gadījumā ir tikai datorā, tad labāk izdrukāt, lai var izgriezt un līmēt.

Izvēlamies MAĢISKĀS DIENAS (Var izmantot CP maģisko ikdienas kalendāru)!

Kādā no šīm dienām izvēlētās bildītes līmējam uz lielā papīra – secīgi pa grupām. Augšējā malā to, ko vēlamies, lai ātrāk piepildās, un tā secīgi uz leju.

Lapu vēlams pabeigt vienā dienā, ja nē – gaidām nākamo maģisko dienu!

Izveidoto kolāžu novietojam mājas dienvidaustrumu sektorā (ņemam talkā kompasu un skatāmies no mājas centra, kurā pusē tas ir).

Novietošana ir secīga. Sākotnēji, kamēr aprodam ar savām jaunajām un jau iegūtajām vēlmēm, turam tās atklātā vietā, bet kad jūtam, ka “pasūtījums ir gatavs” un varam pielikt punktu, tad novietojam kādā slēgtā vietā, lai “Visums” redz, ka esam pielikuši punktu un gatavi saņemt savu pasūtījumu. Pretējā gadījumā, ja visu laiku skatāmies, domājam, ilgojamies – “Visuma spēks” var nesaprast, vai pasūtījumu esat pabeiguši …

P.S. internetā veidotām kolāžām pietrūkst roku enerģijas, ko ieguldījāt veidojot, tādēļ biežu vien tās nerealizējas.

Zīmēt var pats, bet tad rezultātam jābūt tādam, ka var atpazīt, ja vēlme būs realizējusies.

Autore: Dita Blūma–Balinska, www.simboli.lv

untitled

Viņai atnāca īsziņa, kad viņa bija pie automašīnas stūres. Kas notika pēc pāris sekundēm? Šausmas!

Liza Marksa bija populāri savu vienaudžu stundentu vidū. Skaistā blondīne no Merilendas štata jau sāka strādāt par modeli, viņai patika ballēties ar draugiem, iet uz ballītēm un spēlēt futbolu. Kā jau lielākajai daļai jauniešiem un meitenēm, viņa domāja, ka ir neuzvarama..

  1. gadā viņas dzīve izmainījās vienā briesmīgā mirklī.

Lizai bija 18 gadi, kad viņa novērsa acis no ceļa, lai paskatītos, kāda īsziņa viņai ir atnākusi telefonā. Pēc sekundes viņas “Mazda” ieskrēja evakuatorā, kurš gaidīja iespēja nogriezties pa kreisi.

Liza tajā briesmīgajā avārijā brīnumainā kārtā izdzīvoja. Kaut arī viss varēja būt savādāk: viņa, kā jau visi jaunieši, brauca ātri, un viņas automašīna bija pārāk maza, lai viņu droši aizsargātu. Un viņas fiziskās un emocionālās rētas būs ar viņu uz visiem laikiem.  

Nākamo mēnesi pēc avārijas viņa pavadīja reanimācijā. Viņas seja kļuva bezformīga. Meitene ar vienu aci palika akla…Šo sarakstu var turpināt un turpināt.

Kas ir vēl sliktāk, viņas draugu loks sāka samazināties jau uzreiz pēc traģēdijas. Vientulības sajūta sāka apņemt Lizu. 

2014.gadā viņa kopā ar savu mammu uztaisīja video, kurā pastāstīja, cik svarīgi ir nekad nenovērsties no automašīnas vadīšanas procesa. NEKAD!

Video iznāca tik spēcīgs, ka tas kļuva gandrīz vai par vīrusu, un tas savāca vairākus miljonus apskatu.

Mēs uzskatām, ka šis video ir jāredz katram. Bet, lai neskatītos video angļu valodā, varat iztikt ar tekstu zemāk. 

Līdz avārijai Liza bija tipiska pirmkursniece: populāra, sabiedriska un spējīga lietot viedtelefonu. “Es telefonu izmantoju, liekas, katru sekundi. Tas bija kopā ar mani katru minūti, katru stundu. Kad man nebija telefona, es tūlīt pat sajutos vientuļa”, – stāsta viņa.

1

Viņa un viņas draugi daudzas reizes bija dzirdējuši vecāku un valsts iestāžu brīdinājumus par īsziņu rakstīšanu. Protams, ka tie tika ignorēti. Jo visi viņas draugi taču darīja tieši tāpat. “Es domāju, ka esmu neuzvarama un neievainojama. Tagad ir skaidrs, kāda muļķe es esmu bijusi”!  

2

Kad viņai bija 18 gadi, Liza novērsās no ceļa, lai pārbaudītu, kurš viņai kaut ko ir atrakstījis. Un tūlīt pat ietriecās evakuatorā uz pagrieziena.

3

Viņas dzīve jau nekad vairs nebūs tāda, kā iepriekš. Īsziņu, starp citu, viņai bija sūtījusi mamma. Viņa nezināja, ka meita ir pie stūres. Nākamo mēnesi Liza pavadīja reanimācijā.

4

Liza tagad ar vienu aci ir akla. Viņa ir zaudējusi savu valdzinājumu un cieš no gandrīz pilnīga dzirdes zuduma. Viņa vairs nevar uz saviem vaigiem ieraudzīt asaras un nevar iemigt bez speciālu tablešu palīdzības.

5

Gan pati Liza, gan viņas mamma Betija ir pārdzīvojušas īstas šausmas. Viņas abas vēroja, kā meitenes draugi sāka pazust no viņas dzīves. Betija atceras, kā vienrez iegājusi meitas Facebook kontā. Viņa bija pāris minūtes atpakaļ ierakstījusi: “Varbūt kāds var ar mani šodien pastaigāties? Man vairs nav neviena drauga”.

6

2014.gadā Liza un viņas mamma pēc ASV ceļu satiksmes drošības direkcijas departamenta lūguma izveidoja video par to, cik svarīgi ir nekad nenovērsties no ceļa automašīnas vadīšanas procesā.

7

Meitene ir kļuvusi par slavenību. Kopā ar mammu viņas ir sākušas braukāt pa valsti, lai uzrunātu jaunus cilvēkus un stāstītu par to, kā jāuzvedas automašīnas vadīšanas laikā.

8

Ja jūs braucat pa ceļu, un tajā brīdī kāds jums kaut ko atraksta, nelasiet to. Pat neskatieties uz telefona pusi. Tas nav tā vērts”.

9

avots: lifter.com.ua

 

7 japāņu maģiskie kārtības noteikumi

marie_kondo3

Ja tīram māju kā parasti, pēc pāris dienām atkal ir nekārtība. Pēc šīs maģiskās japāņu metodes kārtība mājās būs vienmēr. Noslēpums ir tajā, ka jūs atbrīvojaties no nevajadzīgajām lietām, bet vajadzīgās sakārtojiet tā, ka ļoti viegli tās atgriezt savās īstajās vietās. Un milzīgs pluss ir tas, ka pēc vienas vienīgas tīrīšanas jūsu apziņā notiek izmaiņas un jūs vairāk uz mājām nevelkat nevajadzīgas lietas.

1. Kārtojiet pa kategorijām

Savāciet viena tipa mantas no visas mājas un salieciet tās visas kopā – piemēram, uz grīdas. Labāk sākt no apģērba, pēc tam pāriet pie grāmatām, dokumentiem un tālāk – pēc saraksta.

2. Pats galvenais – atbrīvoties no nevajadzīgā

Paņemiet rokā katru lietu un sev pajautājiet, vai tā sagādā jums prieku. Ja nesagādā, droši izmetiet.

3. Kārtošana – dialogs ar lietām

Japāņi vienmēr ar cieņu attiecas pret nedzīvām lietām. Pirms izmest kādu lietu – pateicieties tai par labu kalpošanu.

4. Aizmirstiet par glabāšanas sistēmu

Ta ir pavisam acīm neredzama atklāsme: ierīces glabāšanai – arī ir bezjēdzīgi krāmi. Lai nepalielinātu to daudzumu, nevajag tās pirkt.

5. Saritiniet visu trubiņās

Visas lietas, kuras nav obligāti karināt uz pakaramajiem, labāk saritināt suši veidā un vertikāli ievietot kastītēs – kā dvieļus zem izlietnes no IKEA katalogiem. Paskatieties kā Marie Kondo sakārto lietas – to var vērot stundām, jo tā ir patiesa māksla.

6. Pakariniet drēbes, sākot no tumšajām un siltajām, līdz gaišajām un vieglajām

Tās drēbes, kas labāk izskatās uz pakaramajiem, nevajag saritināt. To glabāšanai ir citi noteikumi: līdzīgām lietām jākarājas blakus (Marie ir pārliecināta, ka apģērbs tāpat kā cilvēki, labāk atpūšas, esot radniecīgu lietu ielokā), bet vispār karināt vēlams no kreisās uz labo pusi, sākot ar tumšajām un siltajām drēbēm uz gaišajām un vieglajām.

7. Atbrīvojaties no papīriem

Veci žurnāli, mācību materiāli no dažādiem treniņiem, neizmantoti bloknoti un bezgalīgi, nekam nevajadzīgi reklāmas bukleti un stikeri, neizbēgami padara neglītu jūsu interjeru. Jūs beidzot varat pielikt tam punktu – nomainiet tos pret ērtiem bloknotiem savos gadžetos (telefonos, planšetēs u.t.t.) – dabai palīdzēsiet un uzturēsiet kārtību. mājās.

marie_kondo6

marie_kondo7.jpg

marie_kondo61.jpg

avots: gintafiliasolis.wordpress.com

Dzīve tev neko nav parādā

mooji

Miljoniem cilvēku visā pasaulē jamaikieti Entoniju Polu Mi-Jangu zin ar citu vārdu. Viņš pazīstams kā Mudži – Advaita Vēdanta meistars un vieds garīgais skolotājs. (Advaita Vēdanta vai neduālisms – tā dēvē Vēdantas filozofijas atzaru, kas apgalvo, ka pastāv tikai viens Avots, viss notiek tajā un nav nekā, izņemot to. Avotu sauc par Brāhmanu, Ātmanu, Apziņu, Potencialitāti, Klusumu, Dievu, Sirdi utt).

Mudži ļoti skaidri un vienkārši runā par diezgan parastām lietām – tā, ka šķiet, šīs domas dzimušas kopā ar tevi.

  • Klausot savai sirdij, tu sāksi kustēties pareizajā virzienā, pat neiedomājoties par to, vai tas ir pareizs.
  • Dzīve tev neko nav parādā. Ja tava attieksme būs tāda, tu būsi pateicīgs par visu. Ar ko gan tu esi nopelnījis 30 gadus elpot svaigu ar skābekli pildītu gaisu? Ko esi izdarījis, lai tev būtu sirds, kura pukst un strādā pat tad, kad tu guli? Ko tu esi izdarījis, lai vispār kaut ko saņemtu? Un kas tu vispār esi? Ja dziļi padomāsi par to, tu vairs necietīsi, bet sāksi novērtēt dzīvi visās tās izpausmēs.
  • Katra doma ir tieši tik spēcīga, cik spēcīga ir uzmanība, ko tu tai piešķir. Lai arī kas notiktu – tas vienkārši ir tas, kam tu pievērsi savu uzmanību.
  • Attiecības — tas nav tas, kas jāsaglabā par katru cenu, attiecības ir jābauda. Pārāk liela piepūle rada spriedzi. Kad esi tukšs, kad esi brīvs no vajadzības pēc attiecībām, tev nav vajadzīgs atbalsts, tev pat nevajag lai tevi mīl. Visi vēlas būt tev blakus, kad esi brīvs no piepūles.
  • Neviens nevēlas lai tu būtu brīvs, pat tie, kuri tevi mīl. Tāpēc, ka, kļuvis brīvs, tu kļūsi neprognozējams.
  • Varenu personību nav. Maķedonijas Aleksandrs ir vienīgi mīts. Kur viņa diženums ir šobrīd? Es neesmu saticis nevienu, kurš glabātu savā sirdī Maķedonijas Aleksandra piemiņu. Toties bija viens cilvēks, kurš jāja uz ēzeļa, par kuru nav iespējams aizmirst pat pēc tūkstošiem gadu. Tev jānoskaidro, sevis dēļ, kāda atšķirība ir starp viņiem.
  • Ja tu neesi ieinteresēts kādā domā, tad tai nav varas pār tevi. Tev pat nav vajadzības no tās atbrīvoties. Tās vienkārši nav.
  • Pasaule nav tāda, kādu tu to iedomājies. Taču pasaule tev sevi parāda tieši tādu, kādu tu to iedomājies. Tik milzīgs ir ticības spēks.

  • Atrodi mieru, kura uzturēšanai nav vajadzīgas nekādas prakses, tāpēc, ka tas miers, kurš radīsies pateicoties kaut kādai praksei, pazudīs pie pirmā stresa tavā dzīvē.
  • Neraizējies par sevi. Patiesībā Visumam tu esi pārāk dārgs, lai tā vienkārši pazustu.

    Avots: http://yogajournal.ru/
    Tulkoja Ginta FS

avots: gintafiliasolis.wordpress.com

Spēle pieaugušajiem: Viss tevis dēļ!

vit

Šo spēli aprakstījis Ēriks Berns. Un, kaut arī tā radusies Amerikā, to var sastapt arī pie mums. Un kā vēl.

Laulātie bieži apvaino viens otru ar šādu frāzi. Talākā attīstības fāzē tā pārtop par spēli “Ja tevis nebūtu”.

Bēda tāda, ka šo spēli samērā ātri apgūst bērni, un pēc tam neapzināti to spēlē visas dzīves garumā praktiski visās grūtajās situācijās. Te laiks vainīgs, tad valdība, tad kaimiņi. Bet visvairāk vainīgi, protams, ir laulātais(ā) un bērni.

Ļoti interesants arguments, kuru ļoti bieži izmanto neirotiķi – slikta audzināšana. Bet, kurš gan traucēja šo defektu izlabot? Var taču pats nodarboties ar sportu, arī notievēt un mācīties mūziku, arī angļu valodu var iemācīties pats. Šeit sastopama spēle “Viss tevis dēļ”.

Grūti pateikt, kur šo spēli iemācās. Visdrīzāk jau novērojot, kā tēvs visos pasaules grēkos apvaino māti.

Gribu aprakstīt vienu gadījumu, kuru man izstāstīja viens no maniem aizbilstamajiem. Viņš neiejaucās bērnu audzināšanā un nesekoja līdzi tam, vai viņa meita pilda mājasdarbus.  

Bet labāk paklausieties viņa stāstu.

“Mana sieva nebija vienisprātis ar maniem pedagoģiskajiem jaunumiem un turpināja kontrolēt, vai mūsu meita pilda mājasdarbus. Tajā laikā meita mācījās trešajā klasē un viņai jau bija teicamnieces sindroms. Reiz meitene pildīja mājasdarbus matemātikā. Sieva sēdēja blakus un visu laiku līda viņas darbā. Viņas strīdējās viena ar otru. Pēc kāda laika ar pārmetumu, ka man vienaldzīgs bērnu liktenis, ka manis dēļ meita izaugs par stulbeni, ka viņa ir ļoti nogurusi, sieva mani palūdza pieskatīt, lai meite izpilda mājasdarbus.

Ar neapmierinātu skatu un vārdiem: “skaties, tevis dēļ man velti jātērē laiks”, es apsēdos blakus meitai un uzmanīgi sekoju līdzi tam, kā viņa kaut ko pieraksta, un klusēju. Tas turpinājās kādas piecas minūtes. Pēc tam, kad viņa taisījās rakstīt kaut kādu nejēdzību, es neizturēju un viņai aizrādīju. Meitas roka noraustījās. Viņas burtnīcā nu bija traips un aptuveni tādā pašā tonī viņa man teica: “Redzi, ko es tevis dēļ izdarīju. Tagad es nedabūšu piecinieku. Un viss tevis dēļ!”

Tajā brīdī es atcerējos, ka bērnībā es arī visā vainoju savus vecākus, un pēc tam visus pārējos cilvēkus un apstākļus”.

Diezgan raksturīgs stāsts. Bet tikai tad, kad cilvēks pārstāj vainot apstākļus un apkārtējos cilvēkus, bet sāk meklēt kļūdas savās darbībās, viņa liktenī var kaut kas mainīties.

Mīļie lasītāji, noteikti precieties un radiet bērnus. Tad vienmēr būs skaidrs, kas ir jūsu neveiksmju cēlonis, it sevišķi pēc vecāku nāvus. Viņi tagad var teikt “Ja tevis (jūs) nebūtu”. Un nebūs tālu jāmeklē.

Vecpuišiem (vecmeitām) un neprecētajiem ir daudz grūtāk. Viņi parasti neveiksmīgo dzīvi izskaidro ar to, ka nav izveidojuši ģimeni un bērnus. Vēlreiz gribu atgādināt, ka “katra liktenis ir katra paša galvā, un, ja tu neesi apmierināts ar likteni, precīzāk – scenāriju, tad maini pats sevi, tādējādi pārrakstot savu scenāriju”. 

avots: cluber.com.ua

Aizskart māti – aizliegts!!! Skarbi, patiesi un aizkustinoši… Lasīju un raudāju

0000

Diezgan ātri pēc bērna piedzimšanas māte pirmo reizi izdzird to, ka viņa ir slikta māte. Tēvu tracina tas, ka bērns bļauj, naktīs neguļ, māte nepaņem viņu uz rokām, liek sev blakus gulēt vai iet gulēt pie bērna, ka viņa nervozē par katru  sīkumu un dzīvoklī nav kārtības. Visu dienu sēdējusi mājās – un ko darīusi? Vai tad grūti bija visu satīrīt? Pēc tam pieslēdzas vecmāmiņas: baro ne tā, nekāda režīma nav, pārāk maz sodi, pārāk daudz atļauj, pārāk maz mīli, pārāk maz šūpo uz rokām – viss ir nepareizi!
Pēc tam uzstājas vecāki smilšu kastē, kaimiņu tantes un bērnudārzu audzinātājas. Par ārstiem nemaz nerunāsim – par ko jūs, māte, vispār domājāt, gribat savu bērnu pazaudēt? Jā, protams, no pašas dzimšanas par to vien domāju un tas ir mans mērķis!

Uz to brīdi, kad bērns dosies uz skolu, viņa māte jau saraujas ik brīdi, kad kāds vēršas pie viņas, saraujas, gaidot nākamo sitienu, gatava nekavējoties paslēpt bērnu aiz muguras un pagriezties ar seju pret briesmām, atiežot zobus kā vilcene, iedzīta stūrī. Bet pēc tam, savam vilcēnam sarīkos tādu brāzienu, ka maz neliksies. Cik ilgi vēl man dēļ tevis būs jāsarkst un jābālē?

Skolā, pilnīgi skaidrs, ka tur nu neko nomierinošu mātei neviens neteiks, tikai to, ka ar bērnu ir jānodarbojas, ka ar viņu kopā jādara mājas darbi, ka viņam jāpaskaidro, kā pareizi jāuzvedas, pieprasīs, lai viņa izdarītu tā, ka klasē viņas bērnu vispār nedzird – tā, it kā viņai būtu tālvadības pults, ar kuras palīdzību sekot savai atvasei ikdienas gaitās. Skolai beidzoties, viņa noteikti uzzinās, ka viņas bērns ir nekam nederīgs, ka eksāmenus noteikti nenoliks un tādu pat par sētnieku neņems, vienu vārdu sakot, pilnīgs pedagoģiskais krahs. Mājās tēvs ir pilnīgi pārliecināts, ka māte sabojājusi bērnu ar savu pārāk bezzobaino audzināšanu un vecmāmiņas ir pārliecinātas, ka viņa to pat nebaro.

Krievija (domāju – arī Latvija neatpaliek) — ir bērniem nedraudzīga valsts. Atpūtā, transportā, ceļā, uz ielas mātes virzienā vērsti līdzpilsoņu stingrie skati, tie jebkurā brīdīi gatavi dot didaktiskus padomus bērnu audzināšanā. Arī baznīcā nav ne par kapeiku vieglāk. Tur niķīgus bērnus nemīl, pasarg Dievs, ja viņš lūgšanu laikā mēģinās pastaigāties pa dievnamu vai neklausīsies macītāja sprediķi..

Kaut gan, es zinu vienu baznīcu, kur bērnus, kuri jau spējīgi nostāvēt mierīgi, lūgšanu laikā uzaicina stāvēt priekšā citiem un nekarāties mātei kaklā. Tur viņi redz ne tikai cilvēku muguras, bet to, kā dzied, kā lasa lūgšanas, ko dara Svētais Tēvs….Kurš piekusis, var aiziet palīgā sakārtot sveces pie svētbildēm, vai arī atsēsties uz soliņa. Tur ir sieviņas, kas palīdz piekusušai mātei viņas bērnu paturēt uz rokām, vai iziet pastaigāties baznīcas pagalmā.

Zinu skolotāju, kura klases sapulcē divas stundas vecākiem stāsta par to, cik labi ir viņu bērni, kādi viņiem sasniegumi, cik viņi talantīgi un cik labi ir viņus mācīt. Pēc tās sapulces vecāki bija tik pārsteigti, ka mājupceļā pat nopirka torti, lai to nosvinētu.

Es redzēju sievieti, kura lidmašīnā vienkārši paņēma četrgadīgu, nepārtraukti čīkstošu bērnu no kādas pārgurušas mātes un visu lidojuma laiku ar to kopā zīmēja dzīvnieciņus, lasīja pasakas un spēlēja pirkstu spēles — un atļāva mammai nedaudz pagulēt, bet kaimiņiem – lidot klusumā. 

Redzēju vēl kādu sievieti, kuras krēslu lidojuma laikā spārdīja mazs puika un tā vietā, lai pagrieztos un pateiktu sakramentālo frāzi: “Kundze, nomieriniet reiz savu bērnu!” pateica: ” Bērniņ, tu spārdi manu muguru, tas nav patīkami, lūdzu, nedari tā!”

Reiz es braucu mājās maršrutniekā un man pie rokas bija soma – lācis. Man pretī sēdēja piecagdīga meitenīte. Protams, viņai bija garlaicīgi – bērns šūpoja kājas, kratījās, visu laiku mammai uzdeva jautājumus, bakstīja kaimiņus. Kad lācis viņai pamāja ar ķepu, meitēns no brīnumiem palika vaļā muti. Mēs visu ceļu spēlējāmies, bet mamma neuzticīgi skatījās manā virzīenā, gatava jebkurā brīdī paķert bērnu un mest lāci manā virzienā, liekot meitai sēdēt mierīgi, nekustīgi un nograuzt ikvienu, kas kaut ko mēģinās viņai pateikt. Tas jau ir nosacīts reflekss, ieradums, negaidīt no apkārtējiem neko labu.

Es atceros kā mana vecmāmiņa un vectētiņš paņēma manu naktī raudošo bērnu, vienkārši pasakot “paguli, meitiņ”, kaut arī nākamajā rītā viņiem vajadzēja iet uz darbu; kā vīrs neļāva algebrai “nograuzt” mūs ar bērnu, fiksi-ātri un jautri pabeidzot uzdevumus bez manis, Kā mani atbalstīja un palīdzēja mani kolēģi, mājinieki, draudzenes, kad bērni bija maziņi.

Es atceros ceļa biedreni, ar kuru kopā braucām vilcienā un kura mierīgi piecieta manas trīsgadīgās meitas bļaustīšanos naktī. Pārdevēju, kura viņai uzdāvināja banānu, kad mūsu reiss kavējās 18 stundas un mans bērns lodes ātrumā dzenājās no viena lidostas gala uz otru. Ar pateicību atceros tos labos cilvēkus, kuri palīdzēja pacelt bērna apgāzušos ratus, palaida bez rindas sabiedriskajā tualetē, pasniedza kabtaslakatiņus uz ielas, kad bērnam pa degunu tecēja asinis, tāpat vien dāvināja balonus, smīdināja, kad viņš raudāja. Un man vienmēr šķiet, ka man šī labestība jāsniedz arī citiem cilvēkiem.

Katrai mammai ir grūti. Viņa ne visu prot un zin, viņa nevienmēr ir sasniegusi to psiholoģisko briedumu un pārliecību par sevi, kas ļauj jebkurā krīzes situācijā saglabāt mieru un pieņemt pareizos lēmumus. Mamma kļūdās, nodarbojoties ar pašu galveno, svarīgāko lietu un savu galveno cilvēku – bērnu. Viņa to visu redz un nezin, kā to izlabot. Viņai jau tā šķiet, ka dara visu nepareizi; viņa dvēselē ir perfekcionists un grib visu izdarīt ideāli, bet nesanāk ideāli. Un tad viņa, kā nogrēkojies bērns gaida atkal kārtējo divnieku. Nevajag viņu vēl “piebeigt”.

Dažkārt vajag viņu atbalstīt, ar labu vārdu, paslavēt, ka viņas bērns progresē, pateikt ko labu, neuzbāzīgi piedāvāt palīdzību. Un nesteigties nosodīt viņu, bakstīt ar pirkstu, audzināt un dot padomus. Bet, ja žēlojas – labāk uzklausīt nevis pamācīt. Ja raud – apskaut un pažēlot.

Tāpēc, ka viņa ir māte un dara pasaulē grūtāko, nepateicīgāko, bet vajadzīgāko darbu. Darbu, par kuru neslavē, nemaksā, nepaaugstina amatā un nedod nekādas atlaides.  Darbu, kurā ir tik daudz neveiksmju, kritienu un kļūdu un pārāk bieži šķiet, ka neko tā arī neesi sasniegusi.

Var arī neslavēt, nepalīdzēt, neizklaidēt svešus bērnus, nespēlēties ar viņiem, neteikt labus vardus. Vienkārši nevajag aizskart katrā izdevīgākajā brīdī un uz katra soļa. Un tas jau būs milzīgs atvieglojums.

Autors: Irina Lukjanova
Avots: AdMe.ru

P.S. Es lasīju šo rakstu un tas mani “aizķēra” līdz asarām. Man ir četri bērni un visspilgtāk es atceros laiku, kas notika, kad piedzima mans pirmais dēls. Jau, pārnākot no dzemdību nama, ar pumpām, kas radušās stafilokoka infekcijas rezultātā, pirmais ģimenes ārstes apmeklējums mājās beidzās ar asarām, jo viņa atzīmēja, ka es neesmu izvārījusi autiņus un tāpēc bērnam ir pumpas. Es vairākas naktis, raudot sēdēju pie viņa gultiņas un domāju, ka tās ir beigas.

Pēc pāris mēnešiem, kad “uzleca” pirmā nopietnā temperatūra, es zvanīju ātrajiem un tad, kad tie atbrauca – ārste mani izrāja, ka esmu novedusi bērnu gandrīz līdz krampjiem. Un es jutos tik vainīga. Un tā – nebeidzami daudz reizes, dažādās situācijās, bērnudārzā, skolā, uz ielas… Tā vietā, lai izjustu prieku, ka es tieku galā ar saviem pienākumiem, man šķita, ka esmu nekam nederīga mamma. Kad piedzima dvīņi, es biju jau rūdīta, ar kārtīgām bruņām un jau citu mugurkaulu: un vienkārši nepiegriezu šīm runām un aizradījumiem nekādu vērību – taču vēl tagad atceros savus pirmos gadus mātes lomā un man pa kauliem skrien šermuļi. Jā, es nebiju pieredzējusi, bet savus bērnus vienmēr esmu mīlējusi un viņiem neko sliktu neesmu vēlējusi.

Tad kāpēc mēs pašas,  gadiem ejot, aizmirstam to, kā pašas jutāmies tad, kad berni bija maziņi un dažkārt arī cenšamies iegriezt kādai jaunajai māmiņai par to, ka ar viņu notiek tas pats, kas notika ar mums?

Jāmācās! Vēl ļoti daudz dzīvē jāmācās!

avots: gintafiliasolis.wordpress.com

Kādas dāvanas vēlies saņemt Tu 8. Martā ?

Capturednh

Sievietēm 8. marts ir ļoti īpaša diena, jo viņas šajā dienā grib sajusties īpašas. Parasti 8. martā  sievietēm vīrieši  mēdz dāvināt vairāk romantiskas dāvanas nekā praktiskas. Vai praktiskas dāvanas Tevi šajā dienā iepriecinās vairāk nekā romantiska?

Sievieties norāda, ka galvenais ir saņemt dāvanas, kas liek Justies īpašai, skaistai, mīlētai. Ja sieviete saņem dāvanu no mīļotā,  svarīgi, lai dāvana pauž to, ka viņu mīl un tiecas pēc viņas. Nereti vīrieši pārcenšas ar praktiskumu. Nez vai virtuves katlu komplekts 8.martā iepriecinās vairāk kā skaists ziedu klēpis! Bet kas zina?

Ir vērtīgi netieši norādīt par savām vēlmēm vīriešiem, stāstot, kas patīk. Vari izmantot sociālos portālus, jo esi droša, vīrietis, kas vēlas Tevi pārsteigt, to būs apskatījis.

Capturednh

Kādu romantisku dāvanu vēlies saņemt, dalies ar šo informāciju?

  • Ziedi, Baloni
  • Rožu ziedlapiņas izkaisītas pa istabu
  • Romantiskas vakariņas
  • Smaržas
  • Pulksteni, rotaslietas
  • Kādu mūsdienīgu “Gadžetu” –  telefonu, planšeti

Capturess

Ja tu kāro pēc kādas mūsdienīgas elektroierīces, “Gadžeta” vari izmantot vecu viltību – staigājot pa tirdzniecības centru, piedāvā savam puisim, vīram, vīrietim, ieiet, piemēram, elektropreču veiklā, lai it kā paskatītos fēnu vai ko sev vajadzīgu, esot veikalā, vari norādīt uz sev interesējošām lietām.

Raksts tapis sadarbībā ar 1024px-Euronics_logo.svg

Avots: www.passion.ru

 

 

 

5 virtuvē ļoti noderīgi padomi, kas patiks katrai saimniecei

Capturevv

Daži vienkārši un noderīgi padomi iekārtojot virtuvi ar visu nepieciešamo. Kā arī šie padomi palīdzēs pagatavot garšīgu ēdienu.

 

Sildām mikroviļņu krāsnī uzreiz vairākus ēdienus

1

Ja mikroviļņu krāsnī nepietiek vieta divām bļodām, tad vienkārši apakšā zem vienas bļodas nolieciet krūzīti, tādā veidā uzsildīsiet ēdienu uzreiz divām porcijām.

Tosterī ceptas maizītes

2

Lai apceptu sviestmaizi tikai no ārpuses un, lai vidus būtu mīksts, lieciet tosterī uzreiz kopā divas šķēles. Tādā veidā iegūsiet apgrauzdētu ārpusi, bet vidus būs mīksts.

Gatavojam cepeškrāsnī Tako

3

Izmantojam saburzītu foliju, kuru jāievieto starp tako.  Tas ir vajadzīgs, lai tako būtu vienmērīgi izcepts un, lai tas neizjuktu.

Paštaisīts mikseris

4

Labs veids, kā uzputot saldo krējumu un olu baltumus.

Izņemiet ārā no trauku mazgājamās mašīnās trauku turētāju

5

Lai atbrīvotu vietu skapītī no lielā trauku daudzuma, vari piestiprināt trauku turētāju virs izlietnes. Tādā veidā viss mitrums no traukiem satecēs izlietnē.

Raksts tapis sadarbībā ar 1024px-Euronics_logo.svg

Avots: www. fishki.net

 

Noteikti izlasi, lai vīrietis no Tevis neaizietu

7700

Ir uz ko tiekties un par ko padomāt!

1. Vīrietis — nav dzīves jēga, nav pasaules centrs, ne arī sapņu piepildījums. Pasaule ir daudz plašāka un interesantāka nekā vienkārši vīrieša esamība sievietes dzīvē. Tieši tāpēc viņa dēļ nav vērts kārties, viņam nav jākalpo un jāizpatīk, nav ap viņu jāvijas un jābūt no viņa atkarīgai  — pietiek vienkārši būt blakus un baudīt tuvību.

2. Katrai sievietei kaut teorētiski, jābūt iespējai aiziet no vīrieša. Viņai jābūt finansiāli neatkarīgai, profesionāli spēcīgai un pašpietiekamai personībai. Tādu sievieti vīrietim ir bail zaudēt — atšķirībā no nastas, ko visu dzīvi stiept uz saviem pleciem.

3. Sieviete — tā vienmēr ir mājas pavarda sargātāja. Un nekā savādāk. Kaut viņa neizšuj krustdūrienā  — toties cep fantastiskus pīrādziņus. Ja necep pīrādziņus — tad kaut vai pašas garšīgākās kotletes. Vīrietim būs grūti aiziet no mājām, kur viņu baro ar garšīgiem un ar mīlestību gatavotiem ēdieniem un kur viņam vienmēr izgludinās kreklu.

4. Vīrietim nav jāatdod sievietei visa nopelnītā nauda. Nekādā gadījumā un nav neviena iemesla to darīt.

Un vēl; sieviete, no kuras vīrietis neaiziet, nekad nepārmeklēs viņa kabatas. Pat tad, ja viņa skaidri zin, ka labajā guļ bankas karte, bet kreisajā – supermodeles vizītkarte.

5. Sieviete — tā nav tikai mīļākā, mājsaimniece vai viņa bērnu māte. Viņa noteikti ir Draugs. Vīriešiem ir ļoti grūti pārciest dvēseles vientulību — viņiem noteikti vajag dalīties savās idejās un plānos, apspriest ikdienas lietas, ieteikt un prasīt padomu. Kaut vai sīkumos.

6. Sieviete, no kuras neaiziet, nekad speciāli nekaitina vīrieti. Viņa netaisa skandālus, neizved ar savām aizdomām, neizgāž savu slikto garastāvokli uz apkārtējiem, nezāģē un nemanipulē ar seksa palīdzību. Viņa vienmēr visu sarunā un vienojas par visu. Ja nevienojas – vienkārši aiziet.

7. Viņa vienmēr tiecas uz pilnību. Viņa cenšas labi izskatīties. Viņa gatava mainīties un tikt galā ar saviem kaitīgajiem ieradumiem. Viņa ar prieku tērē naudu savam izskatam un labsajūtai un viņai ir svarīgi labi izskatīties vīriešu acīs.

8. Viņa ar mīlestību un cieņu izturas pret sava vīrieša vaļaspriekiem. Un pilnīgi noteikti, viņai ir savi vaļasprieki.

9. Sievietei jābūt vājai, bet – ne dumjai.

10. Sieviete, no kuras neaiziet vīrietis, ļoti mīl sevi. Un tāpēc pilnvērtīgi var mīlēt arī savu vīrieti.

avots: gintafiliasolis.wordpress.com

Patiesi vārdi!!! Tuvie aiziet, bet mīlestība nepazūd…

 

Vecmāmiņa uzrakstīja šo vēstuli savai nupat dzimušajai mazmeitiņai.

vecmamina

Mana mīļā, es varēju šo vēstuli uzrakstīt  Tavai mammai ceturtdaļgadsimtu atpakaļ… bet tad man bija 25 gadi un es domāju tikai par sadzīves jautājumiem – kā pabarot savu ģimeni, kā aizvest meitiņu uz silīti, lai nenokavētu lekcijas augstskolā. Tavs vectētiņš strādāja nakts maiņā un nevarēja man palīdzēt, kad Tava mamma caurām naktīm raudāja, jo bieži slimoja. Tagad man ir 50 un esmu iekrājusi nedaudz pieredzes, kurā vēlos padalīties ar Tevi. Es negribu apgalvot, ka zinu visu par dzīvi, taču esmu Tava vecmāmiņa un vēlos, lai Tu būtu laimīga. Mani padomi Tev netraucēs!

Nebaidies krist
Brauc ar velosipēdu, skrituļslidām, šūpojies šūpolēs un nebaidies nokrist. Būs sāpīgi, taču, pateicoties tam, Tu iemācīsies būt ātra un piecelties tad, kad gribēsies raudāt.

Nebaidies izteikt savu viedokli
Tev nav jāklusē, ja kaut kas nepatīk, kad nepiekrīti. Neslēp savas domas draudzības, attiecību vai mīlestības vārdā. Ja Tevi nedzird vai pieprasa būt lojālai, tad pie velna tādu draudzību vai mīlestību.

Nekaunies lūgt piedošanu
Tikai ļoti stipras meitenes prot atvainoties un atzīt savas kļūdas, un es ļoti gribu, lai Tu izaugtu tieši tāda. Ir grūti pateikt: “Piedod, man nebija taisnība. Kā es varu labot situāciju?” To vajag iemācīties un tad neviens nevarēs Tevi uzvarēt.

Nebaidies saņemt sliktu atzīmi
Divnieks – tas nemaz nav tik slikti. Tas norāda uz Tavām vājajām pusēm. Tu uzzināsi, pie kā Tev vairāk jāstrādā. Zema atzīme nenozīmē, ka Tu esi muļķe. Tā ir tikai un vienīgi laba motivācija darbībai.

Nebaidies Nebūt populāra
Kamēr visi populārie tusētāji skraidīs pa ballītēm, notrieks savu laiku un naudu krogos vai diennaktīm sēdēs internetā, izliekot apskatei savas fotogrāfijas, Tu iemācīsies labi šaut, jāt zirgā, dziedāt un tā tālāk. 18 gados populārie vēljoprojām turpinās sēdēt internetā, bet Tu, iespējams, jau dosies ceļojumā apkārt pasaulei.

Nebaidies būt dīvaina
Tava vecmāmiņa arī nebaidās!

Nebaidies iemīlēties
Iemīlēšanās vienalga pie Tevis atnāks. Priecājies, ka beidzot esi pieaugusi.

Nebaidies no pirmā skūpsta
Tici savai vecmāmiņai, tas ir brīnišķīgi! Nebaidies, visas sievietes lieliski skūpstās, tas mums visām jau ir asinīs.

Nebaidies apprecēties vai neapprecēties
Kad Tu izaugsi, nevienam nebūs nekādas daļas gar to, vai Tev ir laulības gredzens pirkstā vai nav. Bet, ja Tu izlemsi, ka laulība un ģimenes dzīve ir domāta Tev, pacenties atrast “savu” cilvēku un tad viss izdosies. Pat pa visiem kaktiem izmētātas zeķes netracinās. Toties būs ko masēt vakaros un ar ko kopā vest suni pastaigā.

Nebaidies dzemdēt
Nemelošu – tas ir sāpīgi, taču tas ir pats skaistākais, kas var būt ikvienas sievietes dzīvē.

Nebaidies no šķiršanās
Dzīvē gadās visādi. Galvenais – neizsamist un nenoslēgties sevī. Šķiršanās – tās nav dzīves beigas. Tas ir kaut kā jauna sākums un, visticamāk, kaut kā daudz skaistāka un interesantāka.

Nebaidies no vientulības
Dažkārt ir svētīgi pabūt vienatnē. No vienatnes var gūt pat baudu. Ilgi tā nebūs, es mūsējos zinu.

Nebaidies raudāt
Asaras ir stiprā cilvēka izvēle. Es esmu stipra un daru to, ko vēlos. Gribu – raudu, gribu – smejos, gribu – izmētāju zeķes pa visu māju.

Nebaidies mēģināt ko jaunu
Nedomā par vecumu un par to, ko teiks ļaudis. Ņem no dzīves pašu labāko, un nav svarīgi, cik trakas ir Tavas vēlmes.

Nebaidies novecot
Ar gadiem Tu arvien vairāk novērtēsi dzīvi un mīlēsi savus tuvos. Un pēc tam, iespējams, Tu uzrakstīsi vēstuli saviem mazbērniem.

Nebaidies zaudēt mīļos
Es ilgi šaubījos, vai man ir vērts Tev rakstīt. Bet zaudējumi ir neizbēgami. Mūsu tuvie aiziet – bet mīlestība nepazūd…

Es Tevi mīlu.

Tava vecmāmiņa.

avots: gintafiliasolis.wordpress.com

Apotheka aptieku tīkls aug arī ārpus Rīgas!

Aptieku tīkls Apotheka nesen piedzīvojis svarīgu notikumu – otrās jaunā koncepta aptiekas atklāšanu ārpus Rīgas. Šoreiz pie aptiekas ar moderna interjera plašākām telpām tika Siguldas iedzīvotāji. Tagad Latvijas iedzīvotājiem dažādās vietās pieejamas jau kopumā vienpadsmit jaunā koncepta aptiekas.

Pēc pamatīgām 30 tūkstošu eiro investīcijām aptiekas telpas Siguldā, Pils ielā 3 piedzīvojušas pilnīgas pārvērtības un nu kļuvušas par mājvietu mūsdienīgai aptiekai, kam gan vietējiem, gan Siguldas viesiem netrūks ko piedāvāt – saskaņā ar jauno koncepciju krietni palielināts preču klāsts, un nu Apotheka piedāvā visu labas veselības un pašsajūtas veicināšanai, kā arī augstvērtīgai ķermeņa skaistumkopšanai.

Apotheka aptieka uzņēmusies kļūt par iedzīvotāju iemīļotāko aptieku Latvijā, un ir gatava pierādīt, ka uzņēmumam patiesi rūp mūsu veselība. Pie jaunā aptiekas koncepta Apotheka nonāca pēc pētījuma, kura rezultāti skaidri liecināja, ka bieži vien apmeklējam aptieku, lai risinātu jau radušās veselības problēmas – cīnītos ar iesnām, iegādātos pretsāpju medikamentus utt. Tā vietā, veselības speciālisti norāda, vajadzētu vairāk pievērsties arī profilaktiskai veselības kopšanai un uzlabošanai – vairāk domāt par ķermenim vajadzīgo uzturu, vitamīniem, imunitātes stiprināšanu.

Tieši tādēļ jaunā koncepta aptiekās Apotheka liek uzsvaru arī uz preču klāsta palielināšanu, uzņemoties informēt klientus par profilaktiskās veselības kopšanas ieguvumiem ilgtermiņā un tādējādi rūpējoties par Latvijas iedzīvotāju labsajūtu.

Inovācija – veselības kabinets

Jaunajā aptiekā Siguldā ieviesta arī inovācija – īpaši izveidots veselības kabinets, kurā saņemt farmaceita konsultācijas, bez maksas noteikt ķermeņa masas indeksu, kā arī cukuru un holesterīna līmeni asinīs. Turpinājumā nedaudz par to, kādēļ ir svarīgi veikt šādus mērījumus, lai vienmēr uzturētu labāko pašsajūtu.

Ķermeņa masas indekss

Ar ķermeņa masas indeksu tiek izteikta ķermeņa svara un auguma attiecība. Pēc šiem mērījumiem iespējams noteikt liekā svara vai aptaukošanās pakāpi. Ķermeņa masas indekss ir svarīgs rādītājs gan sportistiem (kam jāizmanto cits noteikšanas veids), gan mazāk aktīviem cilvēkiem – bieži vien vizuāli var nemanīt, ka ir nelielas aptaukošanās problēmas, kas ķermenim rada papildu stresu un mazina labsajūtu. Tieši konsultācija ar Apotheka veselības speciālistu veselības kabinetā ir uzticamākais veids šī indeksa noteikšanai, jo tiek ņemts vērā arī aptaukošanās procents un fizioloģiskās īpatnības.

Cukura līmenis asinīs

Cukura līmeni asinīs svarīgi noteikt, lai pārliecinātos, vai viss kārtībā ar glikozes vielmaiņu. Normāls cukura līmenis asinīs ir no 3,3 līdz 6 mmol/l, attiecīgi, ja rādītāji neiekļaujas šajā zonā, tad var runāt par paaugstinātu vai pazeminātu cukura līmeni asinīs.

Paaugstināts cukura līmenis bojā asinsvadus, un tas būtiski palielina akluma, nervu bojājumu, nieru mazspējas, kā arī sirds slimību risku. Pazemināts cukura līmenis asinīs visbiežāk ir medikamentu izraisīts un ir raksturīgs cukura diabēta slimniekiem. Šiem pacientiem visbiežāk to izraisa medikamentu, uztura un fizisko aktivitāšu nesabalansēšana. Šāda stāvokļa gadījumā cieš smadzenes, jo tām cukurs ir vienīgais enerģijas avots. Tieši cukura diabēta slimniekiem ir ārkārtīgi svarīgi regulāri pārbaudīt cukura līmeni asinīs, īpaši, ja ir slikta pašsajūta.

Pirms pārbaudes jāatceras, ka precīzu cukura līmeni asinīs varēs noteikt, ja pirms ieradīsieties uz pārbaudi Apotheka veselības telpā 8 stundas nebūsiet ēdis, pretējā gadījumā rezultāti nebūs ticami.

Holesterīna līmenis asinīs

Augsts holesterīna līmenis ir viens no galvenajiem labas veselības un pašsajūtas ienaidniekiem. Latvijas kardiologu pētījumu rezultāti šajā ziņā neuzrāda labu tendenci – aptuveni septiņdesmit procentiem no Latvijas iedzīvotājiem vecumā no 25 līdz 70 ir paaugstināts holesterīna līmenis. Lielākās veselības problēmas izraisa tieši cilvēku nezināšana par savu holesterīna līmeni – lai šo problēmu risinātu lielākajai daļai no mums pietiek vien ar uztura izmaiņām un vienkāršiem medikamentiem. Tieši tādēļ, rūpēs par saviem klientiem, arī Apotheka jaunās koncepta aptiekas veselības telpā esat gaidīti uz bezmaksas holesterīna līmeņa pārbaudēm.

Daudzos gadījumos ļoti svarīgi laicīgi diagnosticēt gan cukura, gan holesterīna līmeņa izmaiņas, kas ir ārpus normas, lai varētu ātri un efektīvi risināt šīs problēmas, neatstājot paliekošas sekas uz veselību. Pat ja Apotheka veselības telpā veikto mērījumu rezultāti neiekļausies normās, labā ziņa ir tā, ka problēmas tik laicīgi diagnosticētas un Apotheka pieredzējušais personāls spēs ieteikt nākamos rīcības soļus problēmu risinājumam.

Turpinot apliecināt rūpes par klientiem, Apotheka par mērķi noteikusi arī šogad modernizēt esošās un atvērt jaunas aptiekas ne tikai Rīgā, bet arī reģionālajās pilsētās.
Avots: aptiekas.apotheka.lv

Cosmopolitan marta numurs ir klāt!

Ar jauno COSMOPOLITAN vari oficiāli atklāt savu pavasara sezonu! Marta numura karstais pārsteigums – kailo fitnesa treneru fotosesija un viņu satriecoši atklātās atbildes par sievietēm, attiecībām un savām vājībām.

Savukārt numura intervijas galvenais varonis Renārs Zeltiņš sarunā ar COSMO redaktori Gundegu Bičevsku stāsta, kā sievietēm nekļūdīties ar nepareizajiem vīriešiem un spēt sevi pa īstam novērtēt.

Un noteikti izlasi materiālu par seksapīla mākslu, kas tev ļaus vēl vairāk apzināties savu pievilcību. Vai esi gatava pirmajam randiņam? Drosmīgā iepazīšanās eksperimenta dalībniece Maija atklāj, kā viņai veicas lieliskā vīrieša meklējumo un dod padomus aklajiem randiņiem.

Cosmopolitan zīmolu skola tevi iepazīstinās ar veiksmīgām sievietēm, kurām izdevies realizēt ambiciozus plānus un motivēs tevi uzsākt pašai savu biznesu.

Obligāti novērtē arī sezonas aktuālo modes izlasi, kas liks tavai sirdij sisties straujāk un lūkoties pēc košiem un pamanāmiem pavasara toņiem!

Ziemas traumas? Kā ar mājas aptieciņu varam mazināt nelielas ziemas traumas

traumas_ziema

Ziemas prieku baudītājiem gada aukstākie mēneši ir vislabākais laiks, kad var nodoties iemīļotākajām ziemas aktivitātēm – slēpošanai un slidošanai. Bērniem savukārt prieku sagādā laišanās ar ragaviņām no kalna, ko dažreiz kopā ar mazajiem izmēģina arī kāds no pieaugušajiem. Lai arī ziemas priekus var un vajag baudīt, drošāk jutīsimies, ja zināsim, kā rīkoties un kādus medicīniskus līdzekļus lietot gadījumā, ja, aktīvi baudot ziemu, radusies kāda ziemas trauma.

Pirmais solis –  ievērojam miera režīmu.

Brīdī tūlīt pēc traumas rašanās ir jābūt apdomīgam un jācenšas nodrošināt nekustīgs stāvoklis un miers vietai, kura cietusi. Mēdz gadīties, ka uzreiz pēc traumas gūšanas sāpes nav tik izteiktas, tādēļ varētu padomāt, ka varam turpināt slēpot vai slidot, nepievēršot uzmanību nelielajam diskomfortam. Tomēr šāda rīcība ir kļūdaina – lielākas sāpes un tūska var rasties tikai pēc dažām stundām, bet, turpinot aktīvi kustēties pēc traumas gūšanas, traumētajai vietai rodas papildu slodze, kas to var tikai pastiprināt. Tāpat, ja traumu guvis bērns, svarīgi, lai blakus esošais pieaugušais nomierinātu un uzmanītu, vai savainotā vieta netiek kustināta. Tātad, cietušajai ķermeņa daļai jāpaliek pēc iespējas mierā!

Otrais solis – izvēlamies nepieciešamo līdzekli no pirmās palīdzības aptieciņas.

Gūtās traumas var būt dažādu veidu – tās var būt kā vaļējas brūces vai sīki nobrāzumi, tā arī sasitumi, izmežģījumi vai sastiepumi. Līdz ar to, arī pa rokai nepieciešamības gadījumā būtu jābūt pirmās palīdzības aptieciņai, kurā var atrast pamata līdzekļus dažādu traumu aprūpēšanai.

Lai arī nobrāzumus mēdzam uzskatīt par vieglām traumām, tos nepieciešams kārtīgi aprūpēt uzreiz pēc rašanās. Šādu vainu aprūpei, ja nu tādas radušās ziemas aktīvās atpūtas laikā, savā pirmās palīdzības aptieciņā derētu iekļaut līdzekļus, kas satur dekspantenolu –  vielu, kas veicina ādas reģenerāciju. Aptieka šobrīd piedāvā iegādāties gan šo vielu saturošas ziedes, gan putas.

Gadījumā, ja ir radusies vaļēja brūce, pirmais solis ir tās dezinfekcija. Šeit lieti noderēs visparastākie pirmās palīdzības aptieciņa atrodamie dezinfekcijas līdzekļi: briljanta zaļā vai ūdeņraža šķīdums, kā arī kliņģerīšu tinktūra.

Pirmās divas diennaktis pēc traumas – sasituma, izmežģījuma vai sastiepuma – veidošanās lieliski varētu palīdzēt tik vienkārša lieta, kā aukstas kompreses (bet noteikti ne siltas vai karstas!), ko jāliek un jāpatur pie cietušās vietas pat četras reizes stundas laikā. Aptiekā nopērkami arī gēli un aerosoli, kuru sastāvā esošās vielas palīdz uzturēt aukstuma sajūtu, kas nepieciešama sāpju mazināšanai. Savukārt, turpinot iepriekšējo punktu par traumētās vietas nekustīguma saglabāšanu, miera stāvokļa nodrošināšanā labs palīgs būs vai nu pārsēji un plāksteri vai elastīgās saites atkarībā no gūtās traumas veida. Elastīgo pārsēju pluss ir spēja mazināt asins pieplūdumu savainotajai vietai, kas mazina piepampumu un asinsizplūdumu veidošanos.

Visbeidzot, ja sāpes ir visai spēcīgas, būtu jādomā, kādi atsāpināšanas līdzekļi varētu būt  lietojami konkrētajā situācijā. Jāizvēlas medikamenti, kas ne tikai vienkārši noņem sāpes, bet arī mazina iekaisumu un/vai tūsku, lai to iedarbība būtu dziļāka. Viens variants ir sāpes un iekaisumu mazinoši gēli, bet, ja sāpes ir lielākas, iespējams, ar to vien nepietiks. Šādā gadījumā aptiekas piedāvājumā jāmeklē iekaisumu un sāpes mazinošo iekšķīgi lietojami medikamenti, kurus labāk palīdzēs izvēlēties ārsts vai farmaceits.

Trešais solis: rūpīgi izvērtējam gūtās traumas nopietnību.

Ziemas traumas mēdz būt  dažādas ne vien to veida, bet arī nopietnības pakāpes ziņā. Lai arī neatkarīgi no gūtās traumas smaguma svarīgi zināt, kā sniegt pirmo palīdzību uzreiz pēc traumas gūšanas, pēc tam allaž rūpīgi jāizvērtē, vai trauma nav nopietna un nav jāmeklē speciālista – ārsta – palīdzība. Nekādā gadījumā nevajadzētu ielaist situāciju, ja pastāv iespēja, ka radies, piemēram, lūzums vai smadzeņu satricinājums. Tāpat nekad nevajadzētu justies neērti konsultēties ar ārstu, domājot: „Ak, tas jau tāds sīkums, gan jau drīz sadzīs, kādēļ gan es eju pie daktera?” Īpaši, ja sāpes traumētajā vietā ilgstoši ir tik spēcīgas, ka nepieciešams pat lietot atsāpinošus medikamentus, noteikti jāvēršas pie speciālista. Labāk tomēr lieku reizi pārliecināties par savu veselības stāvokli, nevis nesaņemt pienācīgu ārstēšanu kādai nopietnākai problēmai, ja nu tāda tomēr radusies.

            Ziemas laiks ir jāizmanto, lai nodarbotos ar savu mīļāko aktīvo sportu, tomēr rūpēs par sevi nav jāaizmirst arī painteresēties par medicīnas līdzekļiem, kurus iesaka, ja konkrētajā aktivitātē gūta trauma. Aptieka šobrīd iesaka ne vienu vien variantu, kā par aktīvā sporta cienītājiem mazināt nelielas traumas, galvenais ir zināt, kā pieejamos līdzekļus izmantot attiecīgajā situācijā.

10 labākie Vadima Zēlanda citāti

58

1. Iemācieties gūt baudu no slikta laika, no rindām, no satiksmes korķiem, no jebkura negatīva. Tāds sava veida mazohisms pamazām attīrīs debesis virs Jūsu Pasaules. Jums jāaizdomājas vien pie tā, kādu labumu variet gūt no tādas vai citādas nepatīkamas lietas. Un tā tas arī būs – paši pārliecināsieties ne reizi vien!

2. Kad jūs pārstāsiet vienkārši gribēt un mērķtiecīgi nolemsiet, ka Jums tas būs, tad jūs to saņemsiet.

3. Grūtāk par visu ir prast gaidīt, saglabājot situācijas saimnieka mieru. Pārbaudījumu jāiztur, ieturot pauzi, kuras laikā nekas nenotiek.

4. Izrādot neapmierinātību vai lamājot jebko – valdību, ierēdņus, futbolistus, laiku, kolēģus, kaimiņus, tuviniekus, nerunājot nemaz par bērniem, – jūs pasaules spogulī translējat ļoti nepatīkamu tēlu un saņemiet atbilstošu realitāti atspulgā.

5. Ļaujiet sev būt pašam – tas nozīmē, pieņemt sevi ar visām savām nepilnībām. Ļaut otram būt pašam – nozīmē noņemt no viņa savu cerību un gaidu projekcijas. Rezultātā situācija, kad viens grib to, ko otrs nepieņem, atrisināsies pati no sevis.

6. Savā realitātē jūs skatieties to kino, kas griežas jūsu Projektorā. Ko uzzīmēsiet, to ieraudzīsiet. Problēma ir vien tajā, ka cilvēki dara otrādāk: ko redz, to zīmē. Saprotiet atšķirību?

7. Brīnums notiks tikai tad, ja jūs salauzīsiet ierasto stereotipu un domāsiet ne par līdzekļiem, ar kuru palīdzību sasniegt mērķi, bet gan – par pašu mērķi.

8. Ja jums brīžam šķiet, ka esat “ne no šīs pasaules”, vai arī, ka ar šo pasauli “kaut kas nav kārtībā”, tātad esat gandrīz vai jau pamodies. Lieliski!

9. Ja jūs stūrgalvīgi un neatlaidīgi domās griezīsiet Savu Kino un soļosiet uz Savu Mērķi, realitāte agri vai vēlu sāks atbilst tam. Realitātei vienkārši nav kur likties – tāda ir tās īpašība. Ne tikai jūs esat atkarīgi no realitātes, bet arī viņa – no jums. Jautājums tikai ir tajā, kuram pieder Iniciatīva.

10. Tas, ko jums viennozīmīgi nevajag darīt – tas ir vilties savā dzīvē. Jūs nedrīkstiet domāt, ka tā nav izdevusies. Nevienā vecumā tā nedrīkst domāt. Šajā dzīvē nekas nav velti. Un viss tikai sākas – jebkurā laikā, jebkuros apstākļos un pie jebkuriem noteikumiem.

avots: gintafiliasolis.wordpress.com

Viņa paņēma telefonu līdzi uz vannasistabu, bet tas viņu nogalināja! Jums tas ir jāzina!

2441

Maskavā 14 gadus veca meitene nomira pēc tam, kad iegāza savu mobilo telefonu vannā.

Šis gadījums notika 13. februārī un sacēla kājās visu internetu. Zināms vien tas, ka meitene – pusaudze dzīvoja Ezeru ielā.

Viņas līķi atrada vecāki. Nebija vardarbības nāves pazīmju. Pēc izmeklētāju provizoriskajiem datiem, meitenes nāvi izraisīja strāvas trieciens, kas iegūts no mobilā telefona iekrišanas vannā.

Jāatzīst, ka šis ne tuvu nav pirmais tāds gadījums, kas konstatēts Krievijā.

Piemēram, 2015. gada februārī analoģisks gadījums notika Baškīrijas pilsētā Belebee.

Agri no rīta 16 gadus veca meitene atgriezās mājās un devās uz dušu, paņemot līdzi savu mobilo telefonu, lai to uzlādētu. Satraukusies par meitas ilgo prombūtni, māte uzlauza durvis un atklāja vannā meitas līķi.

Pēc tiesas medicīnas ekspertu slēdziena datiem, meitene mirusi no elektriskās strāvas trieciena.

Irkutskā līdzīgs muļķīgs ieradums nogalināja 28 gadus vecu vīrieti.

 

Policija pieļauj, ka nāves iemesls ir mobilais telefons, kas iekrita ūdenī.

Tāpat kā iepriekšējos gadījumos, telefons tika lādēt no rozetes, bet, kad iekrita ūdeni, tas nogalināja savu īpašnieku.

Lūk, vēl pagājušā gada notikums.

Snimok_ekrana_2016-02-17_v_10.27.50

25 gadus veca meitene no Omskas strādāja par tūrpakalpojumu uzņēmuma menedžeri. Nešķīrās no telefona ne uz mirkli.

Kad aizgāja uz vannaistabu, viņa paņēma savu Iphone, uzlika to lādēties un uzlika uz vannas malas. Vanna bija piepildīta ar ūdeni. Pēc vieniem datiem, neilgi pirms savas nejēdzīgās nāves viņa pieņēma zvanu, bet pēc tam nolika telefonu atpakaļ, no kurienes viņš arī netīšām iekrita ūdenī. Cita versija vēstī, ka meitene pati iemeta telefonu ūdenī. Tā vai citādi, Jevgēnija saņēma elektriskās strāvas triecienu un nomira.

2Trauksmi sacēla meitenes māsa, kura kopā ar viņu īrēja dzīvokli. Kad Jevgenija bija vannā, māsa skatījās televizoru. Meitene sāka uztraukties, ka radiniece tik ilgi nenāk ārā no vannas. Māsa atvēra durvis un ieraudzīja briesmīgu skatu: mirusī Jevgenija gulēja ūdenī, uz krūtīm viņas Iphone. Māsa atslēdza telefonu no strāvas un piezvanīja mediķiem, kā arī paziņoja par negadījumu kaimiņiem.

Pēc Jevgenijas mātes vārdiem, meitenei bija vāja sirds, viņa sūdzējās par sāpēm. Iespējams, ka strāvas trieciens nebija liels, bet tas šoreiz nospēlēja galveno lomu.

Un, lūk, vēl kaut kas. Pats Apple neiesaka ņemt Iphone līdzi uz vannasistabu!

Metāliskais korpuss savienojumā ar stiklu garantē kondensāta izveidošanos. Kompaktās montāžas dēļ tikai viena ūdens pile var neglābjami sabojāt telefonu. Mikroshēmu blīvās montāžas dēļ jūs sabojāsiet uzreiz vairākus elementus.

avots: lifter.com.ua

Ekstrēmi! Kurš katrs ko tādu nespētu paveikt!

Capturetr

Skatoties šo video, pulss uzreiz paātrinās! Šajā video redzamais vīrietis sevi pakļauj dažādām bīstamām situācijām.

Kurš katrs nespētu pa tik kalnainiem nobraucieniem braukt lejā, šis vīrietis noteikti ir ļoti drosmīgs, ka ko tādu spēj paveikt.

Kā arī, nevajadzētu aizmirst par drošību, jo noteikti šis ekstrēmists ir parūpējies par savu veselību, to apdrošinot.

Video filmēts ar kameru, kura piestiprināta pie vīrieša aizsargķiveres. Skatoties šo video, sajūtas ir neaprakstāmas!

Ja tevi arī aizrauj tik ekstrēmas lietas vai nodarbes, padomā par savu veselību un drošību, vai tu esi pietiekoši sagatavojies šāda veida nodarbēm.

Raksts tapis sadarbībā ar –polise

 

Avots: www.adme.ru

 

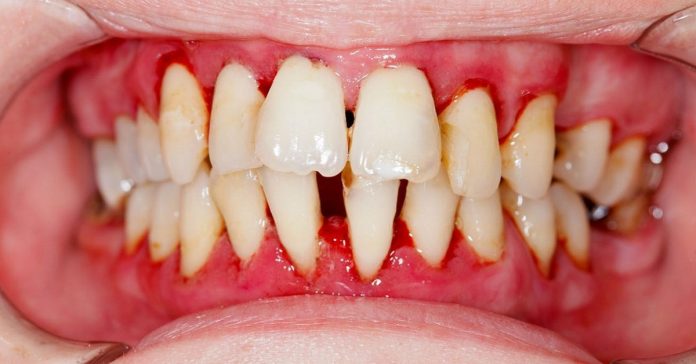
Kā izvēlēties zobārstniecības klīniku sev un bērnam?

Došanās pie zobārsta nav gluži pašā augšējā darāmo lietu sarakstā – vai vismaz darāmo, patīkamo lietu sarakstā. Ja zobs sācis sāpēt, kļuvis jūtīgs vai nepieciešama kāda cita stomatoloģiska palīdzība, protams, dodamies pie zobārsta.

Tomēr, šķiet, nekad nebūs tā, ka profilaktisko apmeklējumu labāk neatbīdīsim tikai tālāk un tālāk nākotnē – labāk, lai nav jāiet. Kamēr nekas nesāp un visi zobi nosacīti veseli – tikmēr zobārsts jāapmeklē nav! Nepareiza izrādās “taktika” neiet uz profilaktiskām apskatēm, bet doties pie zobārsta tikai, kad sāp.

Ar šādiem uzskatiem varam iedzīvoties daudz nepatīkamākās sajūtās, īstās zobu sāpēs, zobu raušanā un citās problēmās, kuras pēc tam novērst ir daudz grūtāk, sarežģītāk, dārgāk un arī sāpīgāk.

Kāpēc izvairāmies no zobārsta apmeklējuma? Lielākoties tādēļ, ka neapzināti (vai apzināti) baidāmies no zobārsta apmeklējuma. Sāpju sajūta nevienam nav tā tīkamākā, un zobārsta apmeklējums vienmēr saistās vai nu ar “sāpīgām atmiņām”, ar reālām sāpīgām sajūtām, urbšanu, labošanu un tā tālāk. Jo īpaši, ja neapmeklējam profilaktiskās vizītes pie zobārsta, kur nepieciešami, iespējams, būtu vien nelieli labojumi vai vispār priecīgā ziņa, ka viss kārtībā – tad atmiņā paliek tikai lielie urbšanas un raušanas darbi.

Šķiet, ka nepatīkama ir bezspēcības sajūta zobārsta krēslā, ārsts rīkojas mutē, ar dažādiem diezgan dīvaina paskata priekšmetiem (kuri noteikti var nodarīt sāpes), bet mums nekustīgi jāguļ, nezinot, kas nu tagad notiks un kā katrs dīvainais instruments tiks izmantots. Tādēļ arvien populārāka prakse, ko mēdz izmantot medicīnā – informēt par darāmajiem darbiem un par procesu, kas notiek pašlaik.

Viena no prestižākajām un populārākajām zobārstniecības klīnikām – zobārstniecības klīnika “Adenta”, Latvijā darbojas jau 15 gadus, uzkrājot pieredzi darbā ar pacientiem.

Zobārstniecības klīnikas “Adenta” vadītājs ir lielisks speciālists ar piektdaļu gadsimta ilgu darba stāžu zobārstniecībā, savukārt speciālisti, kas veido “Adenta” komandu, visi ir zobārsti ar augstu kvalifikāciju un lielu darba pieredzi.

Lielākā daļa “Adenta” speciālistu ir arī RSU akadēmiskais personāls, pie kuriem skolojušies vai skolojas topošie zobārsti, tādējādi klīnikā tiek nodrošināti augsti zināšanu un kvalitatīvu praktisko darbību standarti.

Ļoti laba ziņa pacientiem ir tā, ka “Adenta” zobārstniecības prakse ir veidota ņemot par paraugu Kanādas modeli, nodrošinot ikvienas darbības „caurspīdīgumu”. Tāpat klīnikas speciālisti arī ikdienas darbā vadās pēc principa – “informē pirms dari”. Pacientiem ir būtiski un patīkami ārstēšanās procesā saņemt un just personalizētu attieksmi, just apziņu, ka pret viņa veselību speciālisti attiecas ar rūpību un atbildību.

“Adenta” klīnikas politika – ar profesionālu un personalizētu attieksmi – ir ieguvusi ļoti lielu popularitāti pacientu vidū.

Pats būtiskākais zobārstniecības klinikas “Adenta” mērķis ir, sniedzot zobārstniecības pakalpojumus, paaugstināt zobu veselību, izmantojot jaunākās tehnoloģijas un savlaicīgu profilaktisko ārstēšanu.

Tāpēc pie zobārsta vajadzētu doties ne tikai tad, kad sāp, bet gan sistemātiski un ļoti laicīgi – veicot profilaktiskos apmeklējumus, kas palīdzēs izvairīties no daudz lielākām zobu un mutes dobuma problēmām.

Tiem, kas patiešām baidās no sāpēm, jaunākās tehnoloģijas un iespējas sniedz daudz efektīvāku un mazāk sāpīgu ārstēšanu, piedāvājot ne tikai zobu labošanu, bet vēl dažādas papildus procedūras, ko iespējams izvēlēties zobu veselībai un estētiskam smaidam.

“Adenta” atsaucīgais un zinošais personāls, strādājot komandā, nodrošina augstākās kvalitātes zobārstniecības pakalpojumus pieaugušajiem un bērniem.

Zobārstniecības klīnikas speciālistu komandas darbs ir balstīts uz veiksmīgi veidotu savstarpējo komunikāciju, rodot pamatu labāku ārstēšanas mērķu sasniegšanai.

TOP 5 kļūdas, kuras tu noteikti pieļauj trenažieru zālē

shutterstock_888712511-657x503

Dodoties uz pirmo treniņu sporta zālē, veic vingrinājumus pareizi un, galvenais, droši, jo lielākā daļa cilvēku pieļauj milzum daudz kļūdu kā trenēšanās procesā, tā arī atjaunošanās procesā.

Izlasot šos padomus, tu noteikti iegūsi savu sapņu ķermeni, ievērojot visus drošības pasākumus:

  1. Kļūda: Tiek ignorēti vingrinājumi ar brīvo svaru!

Ko nozīmē vingrinājumi ar brīvo svaru – tie ir visi vingrinājumi ar hantelēm, svariem un stieni). Sāksim ar visbiežāk pieļauto kļūdu. Protams, ja tu apmeklē neoficiālas sporta zālēs, tad tur noteikti atradīsi hanteles un stieņi ar svariem, tur šī problēma nebūs tik izplatīta. Tieši tāpēc no neoficiālajām sporta zālēm iziet ārā veselīgas miesas būves vīri no 90 līdz 100 kg. Tajā pašā laikā no dārgiem fitnesa klubiem –  iznāk ārā tievi vai resni puiši un bezformīgas meitenes.

 Trenažieri vispār nav domāti tiem, kas vēlas uzaudzēt muskuļu masu. Tie ir bezpalīdzīgi. Jā, protams, profesionāli kultūristi trenējas uz tiem, bet tikai tāpēc, lai trenētu kādu konkrētu muskuli.

  1. Kļūda: Tiek meklētas “Burvju tabletītes

Lietojot tādas kaitīgās vielas, kā steroīdus tu tikai vari palīdzēt augt muskuļiem.  Steroīds ir vīrišķais testosterona hormons, tas palīdz tikai augt muskuļiem. Kā arī citas olbaltumvielas, aminoskābes un citas sporta piedevas – tās nav burvju tabletītes. Tie ir tikai papildus līdzekļi, kas nedaudz palīdz tev kļūt lielākam un bezformīgam, ja netrenējies pareizi.

  1. Kļūda: Tiek nepārtraukti mainītas treniņu programmas

Šī kļūda bieži gadās vīriešiem, kuriem zinātne ir stiprā puse. Atnāk uz zāli, neko nesaprot un aiziet no zāles. Uz visiem laikiem? Nē, ne uz visiem laikiem. Viņš aiziet tikai tāpēc, ka sākumā neieguva pietiekami daudz zināšanu par to, kas jādara sporta zālē, kā pareizi jāievēro drošība. Viņš sāk lasīt grāmatas. Un beigās viņam tāpat nekas nesanāk. Jo zinātne un kultūrisms, šīs divas lietas nav savienojamas. Tāpēc palūdz, lai treneris tev pastāsta, kā rīkoties vispareizāk.

  1. Kļūda: Darbs zālē ir svarīgāks nekā miegs un uzturs

Šī kļūda ir tipiska sportistiem iesācējiem. Pat sakāmvārds ir izveidojies: “Spēks ir – prātu nevajag.” Atceries – sportisti, kas guļ tikai trīs stundas un ēd 2-3 reizes dienā, tad labāk uz zāli nevajadzētu iet. Nepārpūlē sevi, jo tad var rasties veselības problēmas.

  1. Kļūda: Treniņi bez progresa ir liela slodze

Ja ievērosi un pildīsi pareizi visus vingrinājumus, tad spēsi palielināt savu muskuļu masu, viss atkarīgs no tavas miesas būves. Kā arī iztiksi ar sausajiem proteīnu pulveriem, pat neradīsies vajadzība iegādāties stiprākus līdzekļus.

Raksts tapis sadarbībā ar polise

Avots: www.menquestions.ru

 

5 vienkārši noteikumi, lai vistas krūtiņa būtu sulīga

Vistas gaļa ir iemīļots kārums daudziem gardēžiem. Tomēr vistas fileja mēdz būt diezgan cimperlīga, it īpaši, ja tiek gatavota cepeškrāsnī. Sulīgas krūtiņas vietā var sanākt ciets, sauss bezgaršīgas gumijas gabals, kas tikai attāli atgādina vistu.

Piedāvājam tev labāko sulīgas, maigas, aromātiskas vistas krūtiņas recepti. Gaļa, kas cepta šādā veidā, vienkārši kūst mutē, tāpēc ātrāk steidz to pagatavot savai ģimenei!

1

Sulīga vistas fileja

Sastāvdaļas

  • 4 vistas filejas
  • 1 ēd.k.olīveļļas
  • 1/2 tējkarote paprikas
  • sāls, pipari

Pagatavošana

  1. Ielej bļodā siltu ūdeni un pievieno tam sāli. Maisi tik ilgi, kamēr sāls ir izšķīdusi. Ieliec sagatavotās vistas filejas bļodā un atstāj uz 15 minūtēm. Pēc tam izņem gaļu un ar papīra dvieli nosusini.
  2. No visām pusēm apsmērē vistas fileju ar eļļu. Tāpat var izmantot arī izkausētu sviestu.2
  3. Atsevišķā bļodā samaisi sāli, piparus, paprik un citas garšvielas pēc vēlmes. Ar iegūto maisījumu apber vistas fileju.3
  4. Gaļa jācep iepriekš kārtīgi uzsildītā cepeškrāsnī. Tev būs nepieciešamas aptuveni 20 minūtes, lai pagatavotu sulīgu fileju.4
  5. Izņem gaļu no cepeškrāsns, apklāj ar foliju un atstāj uz pāris minūtēm.

Kā redzi, šī vistas filejas pagatavošanas recepte ir pārsteidzoši vienkārša. Noslēpums slēpjas faktā, ka gaļa tiek iemērkta ūdenī un pēc tam gatavota augstā temperatūrā. Vistas krūtiņa, kas šadā veidā ir pagatavota, saglabā visas savas noderīgās vielas.

avots: takprosto.cc

Izgrezno savus nagus ar KONAD zīmodziņiem!

Salonā Nail Time veic gan manikīru, gan pedikīru ar gēllakas pārklājumu. Kādu no 150 toņiem varēsi papildināt ar dažādu dizainu, izmantojot Nail Time pieejamo nagu apgleznošanu ar KONAD firmas zīmodziņiem.

KONAD nagu apgleznošanas tehnika ir lielisks veids, kā savu manikīru vari izveidot īpaši skaistu un neparastu. Ir iespējams realizēt visneparastākās idejas, tāpēc pirms dodies uz salonu Nail Time, vari iesūtīt savu bildi www.facebook.com/NailTimeLV, lai speciālisti var sagatavoties un realizēt tavu sapņu manikīru.

Salonā tiek rīkoti arī bezmaksas semināri meistariem, kā arī ir iespēja iegādāties nepieciešamos produktus darbam ar KONAD.

Jaunākajiem dizainiem seko Facebook un Instagram kontā – nailtimelv.
Kā arī visa nepieciešamā informācija ir atrodama mājas lapā nailtime.lv.

10 iemesli, kāpēc Zivis ir sarežģīti, bet tik mīļi cilvēki

ryby

Mīlēt ir grūti, bet nemīlēt nedrīkst.

Zivis ir vissarežģītākā Zodiaka zīme. Jums jāatzīst, ka jums nav ne mazākās sapratnes par to, kas notiek jūsu drauga-Zivs galvā. Velns, pat, ja jūs paši esat dzimuši šajā zīmē, tad droši vien paši ne vienmēr varat tikt skaidrībā ar savu saprātu!

Bet man jums ir labas ziņas!

Jūs neesat vieni. Un vispār jau jums vajadzētu pateikties Dievam par to, ka esat dzimuši tieši Zivs zīmē.

Lūk, 10 iemesli, kāpēc neviens nesaprot Zivis, un kāpēc tas ir pilnīgi normāli.

  1. Zivis ir 12. Zodiaka zīme

Zivis ir pēdējā Zodiaka zīme. Un tas nozīmē, ka visi, kuri ir dzimuši šajā zīmē, ir sava veida maisījums no visām 11 iepriekšējām zodiaka zīmēm.

Tas nozīmē, ka Zivīm dažreiz ir tiešām grūti tikt galā ar sevi un savām sajūtām. Lūk, kāpēc viņas ir tik neizlēmīgas un bieži vien pieņem pilnīgi stulbus lēmumus.

Tomēr šo cilvēku pluss ir tajā, ka viņi ir ļoti atvērti. Zivis ir draugs, kurš vienmēr saka  “jā”, pat, ja vēlāk to nožēlos.

Un tomēr Zivis ir cilvēki, kuri lielākoties ir orientēti uz loģiku un nevis jūtām. Kaut arī viņas veic impulsīvas rīcības, parasti viņi padomā, pirms to dara.

Bet vismaz vienu reizi viņi ir gatavi pamēģināt visu.

  1. Zivis vienmēr meklē jaunus iespaidus

Zivis pastāvīgi atrodas jaunu ideju un iespaidu meklējumos. Bet īpaši laimīgas viņas ir tad, kad atrod cilvēku, kurš būtu gatavs dalīties ar viņām tieksmē uz piedzīvojumiem.

Parasti Zivīm ir veiksmīgākas attiecības ar tiem cilvēkiem, kuri tāpat kā viņi, mīl haosu un ažiotāžu.

Ja Zivis nonāk “stabilitātes” un paredzamības lamatās, tad, visticamāk, veiks kādu impulsīvu darbību un pirmo reizi izmantos iespēju veikt radikālas pārmaiņas dzīvē.

  1. Viņas ir līdzjūtīgas

Zivis ir ļoti līdzjūtīgi cilvēki. Viņi dažreiz raud, skatoties melodrāmas,un pastāvīgi ziedo naudu labdarībai. Un to visu viņi dara patiesi un nevis, lai izrādītos. Tā kā, ja jūs meklējat uzmanīgu un rūpīgu dzīves partneri, tad paskatieties uz Zivīm.

  1. Viņām mēdz būt grūti atšķirt realitāti no fantāzijām

Zivis ir lielākie sapņotāji uz Zemes. Un viss tāpēc vien, ka viņu debesu patroni ir Jupiters un Neptūns.

Zivis pastāvīgi metas arvien jaunu un jaunu mērķu meklējumos, nekādi nespējot ne nomierināties, ne kaut ko novest līdz galam. Bet tur jau arī slēpjas viņu jaukums, vai ne?

  1. Viņas līdzpārdzīvo

Zivis ir ļoti jūtīgi cilvēki. Dažreiz svešas emocijas viņus pārņem tik ļoti, ka viņi nevar tikt skaidrībā par savējām. Dažreiz viņu dzīve atgādina haosu tikai tāpēc, ka viņām nav laika tikt skaidrībā ar savām problēmām: visapkārt taču ir tik daudz svešu!

Vispār jau tas ir pluss, nevis mīnuss. Kaut vai tāpēc, ka, ja jums būs nepieciešams, lai kāds sniegtu savu plecu, jūs noteikti zvanīsiet Zivīm. Galu galā, nevienam citam nav tik daudz pašaizliedzības.

  1. Viņas var normāli saprast tikai tad, kad paliek vienas

Ja Zivis ieslēgs istabā kaut uz stundu, tad viņas noteikti izmantos šo laiku, lai tiktu skaidrībā ar sevi un sastādītu kaut kādu jaunu pasaules iekarošanas plānu. Tada nu ir viņu īpatnība: ja viņas ir sabiedrībā, tad vienmēr ir aizņemtas ar citiem, bet paši savu dzīvi dzīvo “autopilotā”.

Zivis var justies produktīvas un savākušās tikai tad, kad paliek vienatnē.

  1. Un tomēr: sirds dziļumos viņas ir introvertas

Pamatā tas nozīmē, ka viņas cenšas vienmēr un visur ap sevi pulcēt jaunus cilvēkus. Tomēr viņas gandrīz nekad nezina, kā pārvērst šīs paziņas par reāliem draugiem.

Zivīm ir grūti rēķināties ar pilnīgu pašatdevi no citu cilvēku puses. Bet pašas gan viņas vienmēr tam ir gatavi!

Lūk, kāpēc Zivis var uzdot tik daudz jautājumus par jūsu dzīvi. Viņas patiešām ir ziņkārīgas! Un viņām sāp, ja neesat ar viņām atklāts.

  1. Viņas draudzējas ar visiem

Zivis vienmēr cer uz to, ka cilvēki ar viņām atklās savu labāko pusi. Viņas ir ideāli advokāti. Vismaz viņas vienmēr aicina “netiesāt citus cilvēkus, kamēr to vaina nav pierādīta”. 

Arī ballītēs pie Zivīm vienmēr ir jautri, bet ne visiem: tajās mēdz būt cilvēki no dažādiem sabiedrības slāņiem.

  1. Zivis ir jūtīgas un emocionālas

Esiet uzmanīgi, kad izlemsiet izteikt Zivīm kārtējo aizrādījumu par to, ka viņas pārāk daudz runā. Jūsu draugs var apvainoties – un daudz stiprāk, nekā jūs domājat.

Zivis ir ļoti jūtīgas un jebkurā brīdī var ļoti satraukties vai samulst. Domājiet, pirms viņas aizvainojat. 

Toties, ja jums pašiem ir stress, tad varat par to pat nestāstīt savam draugam – Zivij. Viņš jau sen to zina.

  1. Zivīm patīk lomu spēles

Viņas tik ļoti grib dzīvot, ka viņām ar vienu, savējo dzīvi ir par maz. Zivis dod priekšroku dzīvot dažas dzīves vienā, un tāpēc, kad viņas sev pielaiko dažādas lomas, tas ir normāli un dabiski. Neapvainojiet viņas divdabībā.

Ja Zivis skaidri nezina, kādu lomu tagad izdzīvo, tad parasti viņām ir ļoti grūti veikt izvēli vai spert nākamo soli. Vienkārši viņas ir tādi cilvēki.

avots: cluber.com.ua

Tādu “kartupeli” katru dienu nepamēģināsi! Iepriecini savus bērnus ar tādu vienkāršu un sātīgu saldumu

“Kartupeli” – tas ir deserts ar neskaidru un pietiekoši interesantu vēsturi. Daudzus gadus atpakaļ, vēl Padomju Savienības laikos, tas bija viens no padomju kulinārijas galvenajiem saldajiem ēdieniem.

Lai “uz ātro” pagatavotu garšīgo “kartupeli”, bieži tika izmantoti atlikumi no citām kūkām un pīrāgiem, bet receptē tie netika norādīti. Rezultātā visi bija apmierināti – kulināri saņēma papildus peļņu un tika galā no atliekām, bet bērneļi nebrāķēja dažādos “kartupeļu” veidus. Savienība aizgāja, bet saldais palika. Pamēģināsim to pagatavot!

1

Saldais “Kartupelis”

Sastāvdaļas

  • 500 grami cepumi (vēlams vaniļas)  
  • 400 ml iebiezinātā piena
  • 50 grami kakao pulvera
  • 200 grami sviesta
  • 100 grami tumšās šokolādes (ne mazāk kā 70 % kakao, bet vēlams vēl vairāk)
  • 30 ml konjaka  коньяку (pēc izvēles – var arī neizmantot)
  • 20 grami citrusaugļu konfektes (konkrētas konfektes pēc izvēlas)  

No šīs masas sanāks aptuveni 20 “kartupelīšu”, bet pagatavošana aizņems aptuveni divas stundas.

Pagatavošana

  1. Rūpīgi samal cepumus līdz smalkām drupačām. Nedrīkst palikt nesamalti gabali. Izmanto gaļas maļamo mašīnu.
  2. Citā bļodā samaisi kakao pulveri ar iebiezināto pienu. Samaisi iegūto masu līdz vienadbīgam stāvoklim, pievieno iepriekš gabalos sagrieztu sviestu, uzliec uz nelielas uguns. Uzsildi, kamēr sviests būs izkusis.
  3. Šokolādi izkausē ūdens peldē. Pusi – 50 gramus – pievieno 2. punktā gatavotajai masai. Turpat pievieno arī konjaku, ja tādu izmantosi. Otru šokolādes pusīti pagaidām noliec maliņā, tā noderēs rotāšanai.
  4. Iegūto šokolādes-sviesta masu samaisi ar samaltajiem cepumiem. Ja rezultātā masa ir pārāk sausa, pielej klāt pienu, tikai pavisam nedaudz.
  5. Salipini “kartupeļus”. Lai to būtu vieglāk izdarīt, no sākuma uztaisi desiņas, pēc tam sagriez, un no gabaliņiem izvel bumbiņas.
  6. Bumbiņu vidū ieliec konfektes. Daļu no konfektēm var izmantot arī rotāšanā.
  7. Pāri palikušo šķidro šokolādi uzsildi un ar to apsmērē “kartupeļu” augšiņas. Ja vēl palikušas konfektes, tad uzliec pa virsu šokolādei.
  8. Pagaidi, līdz šokolāde ir atdzisusi..

“Kartupeļu” priekšrocība ir tāda, ka auksti tie nepavisam nezaudē savas garšas īpašības, drīzāk tieši otrādi! Tā kā nevajag steigties tos uzreiz apēst, lai arī ļoti gribas. Ļauj šokolādei labāk iesūkties saldajā. Lai labi garšo!

avots: takprosto.cc

PAZĪMES TAM, KA VIŅŠ TEVI NEKAD NEKRĀPS

drunk in love

Būtu lieliski zināt, ka tavs sirdsāķītis tevi nekad nekrāps – tas atbrīvotu no daudz traucējošām domām. 

Bet patiesībā ir zīmes, kas liecina par to, ka viņš tevi patiešām negatavojas krāpt.

Jūs pelnāt vienādi vai līdzīgi

Pētījumi ir pierādījuši, ka attiecībās, kurās abi pelna līdzīgu naudas summu, ir mazāk iespējama krāpšana. Vīrieši ir tendēti krāpt, ja viņi pelna vairāk naudas nekā sieviete, un viņi arī biežāk krāpj sievietes, ja pelna daudz mazāk naudas.

Arī viņa draugi ir uzticami

Cilvēkiem pastāv lielāka krāpšanas iespēja, ja arī cilvēki, kas ir viņam apkārt, krāpj savus partnerus. Ja viņa draugi nav uzticami, tad, iespējams, ka viņš arī nebūs.

Viņš jūtas mīlēts un drošs

Lielākā daļa vīriešu nekrāpj tāpēc, ka būtu seksuāli neapmierināti no sava partnera puses. Viņi krāpj, jo meklē emocionālu apmierinājumu. 

Viņš ir ekstraverts

Ekstravertus cilvēkus mazāk ietekmē apkārtējie cilvēki. Pētījumi pierāda, ka patiesībā intraverti cilvēki ir tie, kuri biežāk krāpj savus partnerus. Tādēļ, ja tev ir partneris, kurš bieži satiek daudz jaunu cilvēku, patiesībā vari justies droši.

Viņš vienkārši izskatās pēc cilvēka, kurš nekrāps

Patiesībā tu vari uzticēties savām sajūtām, kad runa ir par krāpšanu – ja tev šķiet, ka šis cilvēks diezin vai varētu tevi krāpt, centies uzticēties tam, ko jūti.

Viņš nāk no lielas ģimenes

Protams, vienmēr ir izņēmumi, tomēr, ja viņam ir liela ģimene, kura kopā ir laimīga, tad viņam arī būs izveidojies šāds uzskats par attiecībām, un viņš centīsies tādas izveidot. 

osta1

Viņa dzemdību laikā darīja ko tādu ko parasti sievietes nedara

Visas sievietes kliedz dzemdību laikā, bet to ko darīja šī 21 gadus vecā sieviete, nav darījusi neviena 4

Tomitrisai Kolinsai no ASV bija 21 gads, kad viņa palika stāvoklī, viņa gaidīja meitiņu Taileri Elīzu. Meitene nesen bija izšķīrusies no sava puiša, tomēr tā dēļ nebija nokārusi galvu un priecājās par gaidāmo bērniņu. Pavisam drīz viņa būs māmiņa – kā gan to varētu neuzskatīt par laimi, kā par to, lai nepriecājas, pat tādā gadījumā, ja ir lemts būt vientuļajai mātei. Tomitrisa vienmēr vēlējās kļūt par paraugu savam bērnam.

1

Sāpīgas spazmas meitenei atkārtojās ik pēc trim minūtēm, bet topošo māmiņu tas nebiedēja. Tā nu bija sagadījies, ka dzemdības iekrita vienā laikā ar eksāmenu psiholoģijā. Pārkārtot šāda veida tiešsaistes testus ASV nav iespējams. Tātad – tagad vai nekad. Nenokārtosi – nesaņemsi kvalifikāciju. Tomitrisa visiem spēkiem centās nodalīties no sāpēm un koncentrēties psiholoģijas eksāmenam.
Šī fotogrāfija uzņemta dzemdību laikā, kad meitene gandrīz bija pabeigusi tiešsaistes testu. Burtiski ugunsgrēka ātrumā šis foto ceļo pa visu internetu. Šīs jaunās meitenes gribasspēku var tikai apskaust.

2

“Es esmu jauna māmiņa, bet tas nebūt nenozīmē, kad esmu slikta māmiņa,” teikusi pati Tomitrisa. Arī ar mazu bērnu uz rokām ir iespējams sasniegt visu, ko vēlies, tāds ir jaunās māmiņas vēstījums pasaulei. Tagad, ar diplomu un iegūto kvalifikāciju, jaunā māmiņa pilnībā veltī sevi izlolotajai meitiņai, kopīgi izbaudot ikkatru dzīves doto mirkli.

3

4

Neticami, ka 21 gada vecumā var būt tāds dzīves spars un gribasspēks. Atliek vien novēlēt abām dāmām veiksmi arī turpmāk un cerēt, ka Tomitrisa arī turpmāk spēs būt labs piemērs savai meitiņai.

VIŅA PĀRTIKA NO 3 ĀBOLIEM DIENĀ, 8 MĒNEŠU GARUMĀ. LŪK, KĀ VIŅA IZSKATĀS TAGAD!

g8w1pt25f20u8_4lxm1hh52kl

Tā sākās kā vienkārša, relaksējoša iepirkšanās pēcpusdiena kopā ar mammu, bet beidzās, kā murgains pagrieziena punkts 18 gadus vecās vidusskolnieces Viktorijas Makonas Daukseres dzīvē.

Tirdzniecības centra apmeklējuma laikā, Viktoriju ievēroja modeļu aģentūras pārstāvis. Viņš pārliecināja meiteni, ka viņai ir supermodeles potenciāls. Pēkšņi, viņas sapnis studēt vienā no prestižākajām Parīzes universitātēm tika atlikts malā, tā vietu aizpildīja modeles darba šiks un glamūrs. Viņa parakstīja līgumu ar Elite modeļu aģentūru. Ko vairāk varētu vēlēties pusaugu meitene? Diemžēl, kopš līguma parakstīšanas brīža, viss krasi pasliktinājās.

Tā bija gluži jauna pasaule. Viktorija drīz vien uzzināja, ka pēc iekļūšanas aģentūrā ātri jākļūst tievākai. Viņa atminas, ka bija šokēta uzzinot patieso šīs spēles seju. Viņa pastāsta: “Neviens tieši neteica, ka man jāzaudē svars, toties teica, ka septembrī būs modes nedēļa, tur esošās drēbes ir 32-34 izmēra un man tajās jāietilpst.”

h4

Viktorija smagi strādāja ar lielu pašatdevi iesaistoties tajā, kas viņu interesēja.Tādēļ jauniete 2 mēnešu laikā zaudēja 10 kilogramus, iegūstot modes nedēļai nepieciešamo augumu. Lai panāktu šādu rezultātu, viņa dienā apēda vien trīs ābolus un dzēra gāzētu minerālūdeni, lai piepildītu kuņģi. Reizi nedēļā viņa uzņēma organismam nepieciešamās barības vielas, apēdot vistas gaļu vai zivs fileju.

h5

Un viņas diēta darbojās. Lai arī viņa bija 1,77 metrus gara, viņa svēra tikai 47 kilogramus. Pēc modes nedēļas, viņu uz mēles vēlējās redzēt Parīzē, Milānā un Ņujorkā notiekušajās modes skatēs. Viņa pārstāvēja tādus populārus zīmolus kā Alexander McQueen and Miu Miu. Drīz vien viņa kļuva par vienu no 20 pasaulē pieprasītākajām modelēm.

h6

Zem dizaineru apģērba un aiz glamūra žurnālu vākiem atradās jauna sieviete, kura cieta no anoreksijas.

Viktorija apraksta piedzīvotos saasinājumus: “Man bija ļoti vārgs pulss, osteoporoze, man nebija mēnešreižu un izkrita mati.” Starp modes skatēm viņa bieži vien zaudēja samaņu.

h91

Absurdākais ir tas, ka Viktorija tika ievilkta pretrunu pasaulē. Par spīti tam, ka aģentūra vēlējās, lai jauniete būtu ārkārtīgi tieva, patiesībā viņiem bieži nācās apstrādāt bildes, lai padarītu Viktoriju apaļīgāku. Viņa apraksta smago pārdzīvojumu: “Viņi padarīja apaļīgākus manus vaigus un augšstilbus. Tur strādājošās meitenes droši vien teiks, ka es meloju. Viņas neko nedrīkst teikt, ja vēlas turpināt iesākto karjeru.” Viens no paņēmieniem, ko modeles izmantoja kritiķu apklusināšanai bija publiska uzkodu ēšana žurnālistu priekšā. Tiklīdz žurnālisti bija pametuši telpas, meitenes metās uz labierīcībām, lai atbrīvotu kuņģi no uzņemtajām kalorijām.

h83

Pēkšņi Viktorija jutās apjukusi, depresīva un ieslīgusi bēdās. Šīs emocijas izraisīja bulīmija un vienīgā izeja, kuru viņa saskatīja bija pašnāvība. Pēc astoņiem modes biznesa ellē pavadītiem mēnešiem viņa mēģināja sevi nonāvēt. “Neviens nesaprata. Visi man teica, ka ir piepildījušies mani sapņi, patiesībā, es nekad agrāk nebiju jutusies tik nožēlojami,” viņa atzīstas.

h73

Viktorija pielika punktu modeles karjerai un tagad, 23 gadu vecumā publicējusi grāmatu par modes biznesa aizkulisēm “Nekad nebūsi pietiekoši tieva. Supermodeles dienasgrāmata.” Viņa apraksta modes dizainerus kā indivīdus, kas pret modelēm izturas aizskaroši un uzskata viņas par drēbju pakaramajiem. Lūk, ko viņa atklāj par slaveno dizaineri Karlu Lāgerfeldu: “Viņš saka, ka “Chanel uzvalks neder sievietei ar krūtīm.” Bet visām sievietēm ir krūtis, tā dabā iekārtots. Kādēļ gan viņš nevar vienkārši izgatavot uzvalkus, kas der sievietes augumam?”

h35

Viktorijas stāsts pamatīgi satricināja modes biznesu. Tika izdots jauns likums, kas aizliedz pārāk kārnām modelēm strādāt attiecīgajā industrijā. Jaunā sieviete brīdina jaunās meitenes, kuras sapņo par modeles darbu, viņa iesaka tām nekavējoties atteikties, tiklīdz kāds piemin pušplēstu vārdu par svara zaudēšanu. Viktorijai izdevās tikt pāri smagajam pārdzīvojumam. Tagad viņas svars ir vairāk atbilstošs garumam, Viktorija plāno atgriezties uz skatuves, šoreiz tā būs teātra skatuve.

h24

Tikai dažas modeles uzdrošinās aizskart šo sāpīgo tēmu. Ar daudzām tiek manipulēts un viņas pieņem nesamērīgi mazā svara sasniegšanu un uzturēšanu par normu, nekad neuzdrīkstoties atzīties tajā, kas patiesībā notiek šajā industrijā. Lai brīdinātu sabiedrību par modeles darba patieso seju, Viktorija nolēma dalīties ar savu stāstu, to publicējot.

h15

osta1

Tā nebūs viņa! Sievieti, kura pretendē uz 33 miljonus lielu loterijas laimestu, neatzīst kā laimētāju

Lottery-SUM_3560032b

Susanna Hinte apgalvo, ka savu laimīgo loterijas biļeti nejauši izmazgājusi veļas mašīnā, kas padarījis neskaidru biļetes svītrkodu un datumu. Taču avoti ziņo, ka Lielbritānijas Nacionālās loterijas lēmums neiegūt videonovērošanas materiālu no vietas, kur sieviete pirka biļeti, liecina, ka viņa nav uzskatāma par potenciālo pretendentu uz balvu.

Vāciete Susanna Hinte, kas jau ilgāku laiku dzīvo Lielbritānijā, un pretendē uz 33 miljonus lielo loterijas laimestu ar biļeti, kas nejauši tikusi ielikta veļas mašīnā, šķietami izslēgta no potenciālo balvas saņēmēju saraksta. Lielbritānijas Nacionālās loterijas izmeklētāju komanda, kas ietver izbijušus detektīvus un drošības iestāžu darbiniekus, nav pat mēģinājusi iegūt videonovērošanas ierakstus no vietas, kur, kā apgalvo Hinte, ir pirkta laimējusī biļete. Kā izteicās viens no komandā iesaistītajiem: ‘’Ja Hinte tiktu uzskatīta par reālu pretendentu, pirmā lieta, ko Nacionālā loterija darītu, būtu šo videomateriālu iegūšana. Uzņemtais materiāls ir pierādījums tam, kur un kādā laikā biļete ir nopirkta’’. Nacionālās loterijas pārstāvis paskaidroja, ka mazāk nekā pieci cilvēki komandā zina, kur un kādā laikā laimējusī biļete – ar skaitļiem 26, 27, 46, 47, 52 un 58 – tika nopirkta. Ir atklāts, ka biļete tika nopirkta Vorčesteras apkārtnē, bet netiek ziņots, kādā datumā un kādā vietā tā tika iegādāta.

Hinte savu biļeti, kurā redzami laimējušie skaitļi, bet izdzisis ļoti nozīmīgais svītrkods un datums, nopirka ziņu stendā Vorčesterā. Hamsa Patels, kuram pieder attiecīgais ziņu stends, paskaidroja, ka viņiem ir pieejami videonovērošanas ieraksti, kurus var iesniegt Nacionālajai loterijai, ja viņi to vēlas un Hinte dod savu piekrišanu. Tie atklās viņu pērkot biļeti un arī ciparus uz tās. Taču Nacionālā loterija ir atteikusies no piedāvājuma, kas liecina, ka laimējusī biļete tika pirka kur citur pilsētā.

logoBNN

Kādu kurjeru labāk izvēlēties?

Kad pasts nozaudējis kārtējo vēstuli, kuru tik ļoti gaidīji, vai arī izdzinis tevi nejaukā ziemas pēcpusdienā uz ielas pēc sūtījuma, kas turklāt piegādāts bojātā veidā – šādos brīžos tu neviļus pieķer sevi pie domas, ka ne velti senos laikos svarīgas ziņas sūtīja ar baložu starpniecību. Putniem uzticēja gan visintīmākos jūtu apliecinājumus, gan valsts nozīmes vēstis par pretinieka karaspēka stratēģiju. Tas bija ātri, konfidenciāli un daudzējādā ziņā droši.

Bet ko darīt mūsdienu pasaulē, kurā lidojoši putni ar vēstulēm, apsietām ap kāju, neiederas un nav nemaz iedomājami? Pareizi – jāatrod vēstnesis, kurš nodos tavu sūtījumu adresātam tieši tādu, kādu saņēma no tavām rokām, turklāt iespējami īsākā laikā!

Lai neapgrūtinātu katru paziņu ar lūgumiem uzņemties ziņneša funkcijas, vislabākā izvēle ir profesionāls kurjers, atkarībā no apstākļiem – uz velosipēda vai automašīnā, jo kas gan tas būtu par vēstnesi, kas pakļautos sabiedriskā transporta kaprīzēm.

Bet kāpēc vienkārši neizsaukt taksometru un neaizvest visu pašai, ja reiz nav neviena tuvumā ar mašīnu? Pavisam vienkārši – tava vizināšanās kopā ar sūtījumu iztērēs dārgo laiku un patiesībā būs pilnīgi lieka. Bez tam var gadīties, ka sūtījums vai vēstule jāved uz citu pilsētu vai kaimiņvalsti, tādējādi pilnībā izslēdzot taksometra iespēju.

Izlasi ieteikumus, kādu kurjeru labāk izvēlēties!

Velokurjeru ieteicams izvēlēties, ja nogādāt nepieciešams dokumentu paketi, konfidenciālu vēstuli, pārsteiguma ziedu buķeti vai jebko citu svarā līdz astoņiem kilogramiem.

Auto kurjers būtu labākā izvēle, ja sūtījums ir smags, vai tālu jāved, piemēram, saldumu grozs uz slimnīcu, vai ziedu kalns pēc pirmizrādes. Tāpat autokurjers neiebildīs nogādāt arī dzīvniekus, ko bez dzīvnieku īpašnieka klātbūtnes diez vai uzņemtos taksometra šoferis. Ar autokurjera palīdzību adresāts saņems tavu sūtījumu līdz pat pustonnai svarā!

Pārvadājumi24 eksperti iesaka pievērst uzmanību vēl dažiem aspektiem, pirms uzticēt savu sūtījumu kurjeram:

  • Pirmkārt, nozīmīgs ir sūtījuma vešanas laiks un vieta. Ja tā būs lielpilsēta sastrēgumstundā, auto kurjera izsaukšana var izrādīties neefektīva. Ātrāks būs velokurjers, vienalga, ziemā vai vasarā. Piemēram, Rīgā sūtījuma piegāde vislielākajā sastrēguma brīdī neaizņems vairāk par 3 stundām.
  • Otrkārt, labs kurjera pakalpojumu sniedzējs ne vien iepriekš brīdinās saņēmēju par savu ierašanos, bet arī paziņos tev, kad uzdevums būs izpildīts. Ar tavu ziņnesi būs patīkami komunicēt, viņš būs delikāts, lietišķs un atbildīgs.
  • Treškārt, neaizmirsti izvērtēt pakalpojuma cenu un attieksmi. Ne vienmēr labāko cenu piedāvās liela, starptautiska kurjera pakalpojumu firma. Arī darba apjoms tādam kurjerpasta gigantam ir līdzīgs parastā pasta darba apjomam, tādējādi izslēdzot individuālu pieeju katram klientam. Tev taču gribētos mazliet izpratnes un elastīguma pēc tam, kad esi vīlusies un saniknota, personīgi saskaroties ar parastā pasta nolaidību?

Uzdrīksties izvēlēties savas dzīves kvalitāti pati, jau šopavasar atbrīvojoties no visa smagnējā un liekā, tajā skaitā – atdodot savu korespondenci kurjera rokās!

Izmanto

Diēta, kuras laikā daudz tiek uzņemta soja, varētu pasargāt sievietes no osteoporozes pēc menopauzes iestāšanās

Soy-Sauce

Jauns pētījums liecina, ka sojas pupiņas un citi sojas produkti var samazināt kaulu trauslumu, kas ir liela problēma sievietēm gados.

Diēta, kuras sastāvā paredzēts lietot soju, var pasargāt sievietes no kaulu trausluma un osteoporozes pēc menopauzes iestāšanās.

Pēc lielo pārmaiņu iestāšanās organismam ir grūtāk uzņemt aizsargājošo estrogēnu, tādēļ sieviešu kauli kļūst trauslāki.

Tā kā sojas pupiņās ir daudz augu ķīmisko vielu – izoflavonu, kuri darbojas tāpat kā nepieciešamie hormoni, domājams, ka tās palīdz cīnīties ar dažādām menopauzes blakusparādībām.

Lai teoriju izmēģinātu praksē, 200 sievietes, kurām tuvojas menopauzes vecums, sešus mēnešus lietoja uztura bagātinātāju, kura sastāvā ir sojas proteīns ar 66 miligramiem izoflavona, vai arī tādu, kurā ir tikai sojas proteīns.

Sievietēm, kuras lietoja pirmo minēto uztura bagātinātāju, tika konstatēts labāks kaulu blīvums, kas samazina osteoporozes risku. Viņas samazināja arī sirds slimību risku vairāk nekā tās, kuras lietoja tikai sojas proteīna uztura bagātinātāju.

Tālāk zinātnieki plāno veikt ilgtermiņa pētījumu par to, kam vēl sojas proteīns un izoflavons var palīdzēt.

logoBNN

Kāda ir tā sieviete, kura vīriešus pievelk kā magnēts?

MARIKA1

Ir sievietes, kurām ir brīnumains talants. Viņām nevajag spēlēt rituālās pavedināšanas spēles. Viņas netērē laiku tam, lai no galvas iemācītos “noteikumus, kā ātri iekarot savu sapņu vīrieti”. Viņas pirms randiņa pat neuztraucas. Viņas vienmēr ir atslābinātas, mierīgas un par sevi pārliecinātas. Dabiskas, patīkamas, jautras un bezrūpīgas.

Tādas sievietes skaidri zin, ko ir vērtas un veido attiecības ne tāpēc, ka baidās palikt vienas, bet tāpēc, ka vēlas, lai viņas mīlētu un novērtētu tieši tādas, kādas viņas ir. Viņas nebaidās pieprasīt pašu labāko un neļauj sev “karināt makaronus uz ausīm”. Šī pašcieņa garantē to, ka vīrieši, ar kurām tās satiekas, ciena viņas un dara to, ko viņas vēlas.

Tādām sievietēm viss ir nopietni. Nekādu spēļu. Viņām nav vajadzīga koķetērija un flirts. Tāpat vīrieši pie viņām “līp”.

Viņas neseko žurnālu padomiem par pirmā soļa speršanas pareizību, jo vīriešiem it kā svarīgs esotmedīšanas azarts. Un, paldies Dievam, nepārtrauc attiecības tikai tāpēc, ka vīrietis nedāvina viņām dārglietas un romantiskas dāvanas – ziedus, konfektes un šampanieti. Pa īstam pievilcīga sieviete zin, ka no tādām manipulācijām ir vairāk ļaunuma kā labuma.

Viņa zin, kur atrodas zelta vidusceļš starp “būt pārāk pieejamai” un “spēlēt spēles”. Viņa nekad pilnībā neatklājas vīrietim, tajā pat laikā, neskaita “paredzētās pieklājības randiņu reizes”, pirms ļaut piekļūt vīrietim savam ķermenim.

Nevar teikt, ka tāda sieviete nevar iedomāties savu dzīvi bez Viņa.

Taču viņa neatceļ ieplānotās tikšanās tikai tāpēc, ka viņš viņu kaut kur uzaicinājis.

Viņai ir savas prioritātes, piesātināta dzīve, karjera, draugi, aizraušanās, mājdzīvnieki, vakara kursi, vingrošanas nodarbības, mīļotie TV šovi. Un tas viss viņai neprātīgi patīk un ir dārgs.

Protams, viņa savā dzīvē atbrīvos vietu vīrietim, kurš viņai vajadzīgs, taču tas nenozīmē, ka viņa dēļ tiks upurētas personīgās intereses. Viņa nesēdēs pie telefona, gaidot, kad viņš beidzot piezvanīs. Bet arī nemetīsies otrā galējībā, tēlojot hiperaizņemtu un nenotveramu. Spēles “ak, es esmu tik noslēpumaina un nepieejama” viņai absolūti nav vajadzīgas. Viņa stāv pāri šādiem primitīviem paņēmieniem. Un vīrieši to novērtē.

Tāda sieviete brīnišķīgi saprot to, ka, ja vēlies sev blakus redzēt princi baltā zirgā, arī no savas puses kaut kas ir jāpiedāvā.

Neparasti pievilcīga sieviete ir reālistiska. Viņa zin, ka bērnības dienu pasakas, kurās skaistais, bagātais princis lūdz pelnrušķītes roku, ir tikai pasakas. Viņa savu izvēli neierobežo ar vīriešiem, kuri ir “izdevīga partija”. Viņa nevērtē vīrieti pēc maciņa biezuma, karjeras spozmes, reputācijas vai automašīnas markas. Viņa netiecas pēc “nelīdzvērtīgām laulībām” kā kāda feodālā zemniece. Viņa nelolo cerības, ka kāds bagāts, veiksmīgs vīrietis pēkšņi parādīsies viņas dzīvē un padarīs viņu bagātu un laimīgu.

Viņa paļaujas tikai uz sevi un strādā ar sevi dienu un nakti. Kad runa iet par partneriem un potenciālajiem vīriem, viņa tos vērtē pēc emocionalitātes skalas, ne bezceremoniāli skaitot viņa naudu, procentus no akcijām, noskaidrojot viņa gada ienākumus un nekustamo īpašumu apjomu.

Dabiskums – ir gandrīz pati svarīgākā un pievilcīgākā visu šo sieviešu rakstura iezīme. Tāda sieviete nebūs negodīga ar vīrieti. Viņa nenervozēs randiņā ar vīrieti, kurš viņai patiesi patīk, nejutīsies kā uz skatuves, necentīsies iepatikties un neuzvedīsies nedabiski.

Viņa nenodarbosies ar savu domu un vārdu “pašrediģēšanu”. Viņa zin, ka būt negodīgai ar vīrieti nav labi. Un viņa zin to, ka, ja viņš iemīlēsies “aktrisē”, no tā nekas labs nesanāks, tāpēc, ka tad viņš iemīlēsies tēlā, ko viņa tik centīgi radījusi, ne – viņā pašā. Tāda sieviete to zin, un viņai ir viegli būt dabiskai un īstai – sev pašai. Viņa uzvedas brīvi, nepiespiesti un adekvāti. Ja viņa vēlas kaut ko apspriest, viņa to dara – jo tas viņai ir svarīgi. Un viņai ir pietiekami daudz pašcieņas, lai tā paliktu viņas prioritāte.

Ja kavalieris viņai nepiekrīt, tā nezaudē savaldību un arī samierinoši neatkāpjas. Viņa ir pārliecināta par savu viedokli un prot to paskaidrot pieklājīgi un korekti.

Tas viss kā magnēts pievelk vīrieti.

avots: gintafiliasolis.wordpress.com

Mēs esam vecāki! Teorētiski mēs visi zinām, kā pareizi audzināt bērnus…

MARIKA1

Teorētiski mēs visi zinām, kā pareizi audzināt bērnus. Taču bieži vien laika, vieduma un pacietības trūkuma dēļ, rīkojamies pavisam savādāk. Šeit esam apkopojuši 7 svarīgākās lietas, kuras būtu jāzin katram vecākam, lai palīdzētu formēt bērna personību. Atšķirības starp parastiem un gudriem vecākiem – tā mēs to nosaucām.

Galvenais noteikums: Neapzāģē bērnam spārnus! Vienu reizi tos izpletis, viņš dos tev iespēju nolaist savējos!

1. Parastie vecāki pavada visu laiku ar savu bērnu, pametot savus hobijus un savas intereses novārtā. Patiešām gudri vecāki, rūpējas par sevi un to arī māca saviem bērniem.

2. Parastie vecāki vakaros pilda bērna mājas darbus. Gudri vecāki uzskata, ka bērnam pašam jāatbild par savām mācībām un mājas darbiem. Ja kaut kas neizdodas un bērnam ir jautājumi, vecāki nāk palīgā, bet tikai tik daudz, lai parādītu ceļu risinājumam, nevis darītu kaut ko bērna vietā.

3. Daudzi vecāki cenšas izpirkt it kā savu vainu, pērkot bērnam dāvanas. Gudri vecāki dod savam bērnam naudu tēriņiem. Bērnam pašam jāiemācās rīkoties ar naudu, atlikt to vai tērēt un kam tērēt, tas paliek viņa ziņā. Vecāku uzdevums ir apmācīt un rādīt priekšzīmi.

4. Bieži vien mammas un tēti nevēlas noskaidrot, kāds ir bērna sliktās uzvedības iemesls. Viņi vēlas ātrāk bērnu nomierināt. Gudri vecāki cenšas noskaidrot cēloni un cenšas kopā ar bērnu atrast problēmas risinājumu.

5. Parastie vecāki cenšas izaudzināt, pirmkārt jau, gudru un cienījamu cilvēku. Gudri vecāki cenšas uzbūvēt siltas un tuvas attiecības ar savu bērnu.

6. Parastie vecāki sargā savu bērnu no problēmām, bieži vien, darot to, ko no viņiem neprasa. Gudri tēti un mammas ļauj saviem bērniem kļūdīties un pēc tam palīdz no šīm situācijām kaut ko labu iemācīties.

7. Daudzi vecāki atļauj bērniem visu, lai tie nerīkotu histērijas. Bērni to saprot un bieži vien tadā veidā manipulē ar saviem vecākiem. Gudri vecāki neļauj saviem bērniem manipulēt ar sevi. Viņi ciena gan sevi un savu personīgo telpu, gan arī bērnu un viņa personīgo telpu.

avots: gintafiliasolis.wordpress.com

Zobu balināšanas sistēma – Prevdent

 

dievietei-bilde

Mūsdienu sabiedrībā arvien vairāk pieaug zobu estētikas loma. Liela daļa cilvēku nav īsti apmierināti ar savu dabisko zobu krāsu – tā šķiet pārāk iedzeltena un nebūt neatbilst žilbinošajiem Holivudas smaidiem, ko labprāt vēlamies iegūt. Pēdējās divās desmitgadēs zobu balināšana ir kļuvusi par vienu no populārākajām estētiskajām procedūrām zobārstniecībā. Pareizi veikta zobu balināšana ir viena no visdrošākajām un efektīvākajām zobu estētiskajām procedūrām.

 

Dabīgo zobu krāsu nosaka dentīna krāsa un emaljas slāņa biezums virs tā. Krāsa ir ļoti individuāla un pēc krāsu skalas var svārstīties no izteikti pelēcīga vai tumši dzeltenbrūna toņa līdz gaišam – viegli pelēcīgam, dzeltenīgam tonim. Zobu krāsas maiņu var ietekmēt ļoti dažādi faktori – vecums (izmaiņas zobu minerālu struktūrā – emalja kļūst plānāka, bet dentīns biezāks un dzeltenāks), uzturā lietoti dzērieni un ēdieni, kaitīgie ieradumi (visvairāk smēķēšana), dažādu medikamentu ikdienišķa lietošana (antibiotikas, antidepresanti, dzelzi saturoši preparāti) un tā tālāk.

 

Latvijā un zobārstniecības klīnikā “Adenta” no 2015.gada oktobra pieejama jauna zobu balināšanas sistēma – Prevdent.

 

Prevdent zobu balināšanas sistēma piedāvā 8 līdz 9 toņus baltākus zobus jau pēc vienas procedūras. Balināšana ne tikai noņem aplikuma iekrāsojumu, bet arī maina zobu pamatkrāsu uz gaišāku. Prevdent zobu balināšanas sistēma nodrošina, ka pēc balināšanas procedūras iegūsim baltāku, veselīgāku smaidu, kamēr zobu emaljai nekādi bojājumi netiks nodarīti, kā arī neradīsies paaugstināta zobu smaganu jutība.

 

Pastāv daži priekšnosacījumi, kas jāievēro, pirms izlemjat doties uz zobu balināšanas procedūru. Zobiem un smaganām jābūt veselām. Pirms procedūras noteikti jādodas pie zobārsta uz zobu un smaganu izmeklēšanu, kā arī jāapmeklē zobu higiēnists.
Higiēnista apmeklējums nepieciešams, lai pirms balināšanas procedūras no zobiem tiktu notīrīts aplikums un zobakmens, atsedzot zobu dabīgo krāsu.
Jāatceras arī par iepriekš veiktajām mākslīgajām zobu restaurācijām – plombām, kroņiem tiltiem. Tie nepakļaujas balināšanai, un pēc balināšanas nemainīs toni. Lai pēc zobu balināšanas nerastos vilšanās, kopā ar zobārstu jāapspriež, kuras plombas, kroņi un tilti ir redzami smaidot, un runājot, lai pēc zobu balināšanas tos nomainītu atbilstoši jaunajai zobu krāsai.

 

Devitāli („nedzīvi”, ar pildītiem sakņu kanāliem) zobi var pārkrāsoties no iekšienes, tāpēc var būt nepieciešama arī iekšējā balināšana. Arī šī lieta jāpārspriež ar savu zobārstu, pirms zobu balināšanas procedūras.

 

Pirms procedūras noteikti būtu nepieciešams vaicāt savam zobārstam visu, ko vēlamies uzzināt, kā arī laicīgi jānoskaidro, kāds var būt gaidāmais rezultāts, ko iegūsiet no zobu balināšanas procedūras, jo daudzi uzskata, ka pēc vienas zobu balināšanas reizes zobi būs sniegbalti, tomēr tā var ar nebūt.

 

Lai gan zobu balināšanas procedūra ir droša un nekaitīga, tomēr tai var būt arī kontrindikācijas, par ko arī nepieciešams zināt iepriekš. Pēc balināšanas var būt paaugstināts zobu jūtīgums, rasties erozija, jūtīgas smaganas. Šādas sajūtas var saglabāties vienu līdz divas nedēļas, tāpēc laicīgi jābūt informētam par tām.

Jūtīguma mazināšanai pēc procedūras zobārstniecības klīnika “Adenta” speciālisti iesaka lietot Prevdent DeSensiDent zobu jūtību mazinošo līdzekli, kā arī balinošā efekta saglabāšanai Prevdent nano-Repair Desensitizing balinošo zobupastu.

Raksturīgāko izteicienu horoskops. Pārbaudi, vai atbilst tev un taviem draugiem!

3045915-poster-p-1-how-do-i-get-long-winded-job-candidates-to-stop-talking-during-interviews

Neparasts un kompakts horoskops, kas precīzi raksturo astroloģisko zīmju īpatnības. Tas vistiešāk iepazīstina ar tavu, tavu draugu, paziņu un vispār astroloģiju kā cilvēka raksturojumu. Pārbaudiet sevi un citus ar šo teicienu atbilstību savai horoskopa zīmei!

AUNS

VĒRSIS

DVĪŅI

VĒZIS

LAUVA

JAUNAVA

SVARI

SKORPIONS

STRĒLNIEKS

MEŽĀZIS

ŪDENSVĪRS

ZIVIS

NEGAIDĪTI: Vīra reakcija, ieraugot sievas fotogrāfijas, kurās tika izmantots fotošops

Vīra neprognozējamā reakcija, ieraugot sievas fotogrāfijas, kurās tika izmantots fotošops

rb-696x522 Fotogrāfe no Teksasas Viktorija Haltone kādā vaļsirdīgā foto sesijā fotografēja amerikānieti, kurai jau bija pāri par 40 gadiem, bet kura bija diezgan labā formā. Viņai bija viens lūgums – vairākās vietās pielabot fotogrāfijas, izveidot fotošopu lai nebūtu redzams celulīts, strijas, nevajadzīgās krokas un grumbas. Fotogrāfijas viņa gribēja uzdāvināt savam vīram, ar kuru kopā bija nodzīvojusi vairāk nekā 20 gadus, Ziemassvētkos. Viņa gribēja atkal uzšķilt uguntiņu viņu attiecībās, viņa vēlējās izskatīties ideāla. Kad vīrs atvēra foto albumu, viņš sastinga… Vēlāk viņš uzrakstīja fotogrāfei aizkustinošu vēstuli, kura sociālajos tīklos savāca 4,5 tūkstoši „patīk” un 1500 atkārtotu publicējumu. „Labdien, Viktorija! Rakstu jums šo vēstuli tāpēc, ka nesen saņēmu albumu ar savas sievas fotogrāfijām, kuras fotografējusi esat Jūs. Es nevēlos, lai Jūs domātu, ka esmu neapmierināts ar Jūsu darbu…, bet man ir viela pārdomām un es gribu tajā padalīties ar Jums. Mēs kopā ar sievu esam no 18 gadu vecuma, mums ir divi brīnišķīgi bērni. Šajā laikā mums ir bijuši daudzi pacēlumi un kritumi un es domāju…, es zinu, ka mana sieva ir fotografējusies lai mūsu starpā atkal ”uzšķiltu uguntiņu”. Viņa kādreiz sūdzas, ka es neuzskatu viņu par pievilcīgu un ka viņa sapratīs, ja es sev sameklēšu gados jaunāku sievieti. Kad es atvēru šo albumu, mana sirds pamira. Šīs fotogrāfijas… tās ir skaistas un Jūs esat ļoti talantīga fotogrāfe… bet tā nav mana sieva. Jūs esat nomaskējusi visas viņas nepilnības… Es zinu, ka to Jums ir lūgusi mana sieva, bet ir novākts pilnīgi viss, kas sastāda mūsu dzīvi. Kad Jūs novācāt strijas , Jūs novācāt manu bērnu dzimšanas pēdas. Kad Jūs novācāt viņas grumbiņas, Jūs novācāt divus gadu desmitus mūsu prieka un mūsu skumju. Kad Jūs novācāt celulītu, Jūs novācāt viņas mīlestību cept dažādus gardumus, kurus mēs pa šiem gadiem esam apēduši lielos daudzumos. Es Jums to visu nestāstu tāpēc, lai Jūs justos nepatīkami, Jūs darījāt savu darbu un es Jūs saprotu. Rakstu Jums tāpēc, lai pateiktos. Ieraugot šīs fotogrāfijas, es sapratu, ka es patiešām nepietiekami bieži saku sievai cik ļoti es mīlu viņu tādu, kāda viņa ir. Viņa to dzird tik reti un tāpēc nolēma, ka es vēlos, lai viņa izskatītos tieši tā, kā ir redzama fotogrāfijās kurās ir izmantots fotošops. Man jākļūst labākam, un līdz sava mūža pēdējai dienai es mīlēšu viņu ar visām viņas nepilnībām. Paldies Jums par atgādinājumu ”.

avots: soulpost.ru

Tuvojas Rīgas Modes nedēļa!

Baltijas modes federācija paziņojusi RIGA FASHION WEEK pavasara sesijas datumus. Rīgas modes nedēļas pasākumi notiks Rīgā no 30. marta līdz 3. aprīlim. Pēc tradīcijas, RFW ietvaros savas jaunākās pret-a-porter tērpu kolekcijas demonstrēs labākie modes dizaineri no Latvijas un citām valstīm. Šosezon pirmo reizi RFW programmā paradīsies arī bērnu modes skates!

Par 24. Rīgas modes nedēļas 2016.-2017. gada rudens-ziemas sezonas imidža fotogrāfiju kļuva tēls no slavenās Latvijas modes mākslinieces Natālijas Jansones jaunākās kolekcijas. Šopavasar RIGA FASHION WEEK imidža kampaņu rotās modele Sintija Selicka (FREYJA Model Management); fotogrāfijas autore ir talantīga forogrāfe no Rīgas – Ļena Ņeženceva.

Seko RFW jaunumiem internetā:
www.rfw.lv
www.facebook.com/Riga.Fashion.Week
@rigafashionweek_official (Instagram)

Nav nemaz slikti, ja kāds pasaka priekšā… 40 romantiskas īsziņas mīļotajam

sms (1)

Tūlīt pat izvēlies kādu no 40 īsziņām un aizsūti to vīram vai puisim, lai parādītu, cik ļoti viņš jums ir vajadzīgs un cik ļoti viņu mīlat!

Oktobrī mēs ar vīru nosvinējām trešo kāzu gadadienu. Pa šiem gadiem laulībā mums bija gan kāpumi, gan kritumi, bet vienu gan es tagad zinu noteikti: vīriešiem ir nepieciešama mīlestība, un viņi grib būt mīlēti.

Un par savām jūtām viņiem vajag pastāvīgi atgādināt.

Laulību var iztēloties kā kastīti, kas domāta mazu mīlestības “bumbiņu” glabāšanai. Kad jūs pastāvīgi tajā ieliekat kaut ko patīkamu un romantisku, jūsu vīrs to jūt. Un atbildot arī viņš dod savu ieguldījumu.

Noteikti pienāks tāds pārbaudījumu laiks, kad jums būs nepieciešams ieskatīties šajā kastītē, lai sev atgādinātu par to, cik ļoti jūs viens otru mīlat.

Kad mums ar vīru radās problēmas attiecībās, mūsu draugs, kurš ir precējies nu jau 40 gadus, ieteica mums dienas laikā sūtīt otram mīlas īsziņas – tās pašas “bumbiņas”, kas spēj no jauna iekvēlināt jūtas.

Un šodien es gribu padalīties ar brīnišķīgām īsziņām, kuras arī jūs varat nosūtīt mīļotajam, lai atgādinātu viņam par savām jūtām:

  1. Man ir tik ļoti paveicies, ka tu esi man blakus.
  2. Es tevi mīlu.
  3. Ar tevi kopā es jūtos drošībā… un es tev esmu pateicīga par to.
  4. Mīļais, tev ir plāni vakaram? Mājās tevi gaida garšīgs “saldais”…
  5. Tu man esi vislabākais. Es vienkārši iedomājos, ka tev vajag to zināt.
  6. Man patīk būt ar tevi kopā. Skumstu pēc tevis!
  7. Lai tev jauka darba diena! Gaidīšu tevi mājās.
  8. Tu man patīc. Tu man ļoti patīc.
  9. Tu esi visgādīgākais vīrietis no visiem, kurus pazīstu.
  10. Dievinu tavu humora izjūtu! Šodien ar kolēģiem visu dienu smējāmies par taviem jokiem!
  11. Paldies par to, ka tu esi tāds, kāds esi.
  12. Blakus tev es esmu laimīga. Es tevi tik ļoti mīlu!
  13. Paldies par to, ka esi manā dzīvē.
  14. Varbūt šodien vakariņās pagatavosim kaut ko īpašu?
  15. Varbūt pavadām šo vakaru kopā?
  16. Tikai tu un es. Romantiskas vakariņas vakarā 5.
  17. Paldies, ka nomazgāji traukus! Mans manikīrs palika sveiks un vesels 
  18. Tuvāka par tevi man neviena nav!
  19. Tu mani iedvesmo, mīļais.
  20. Mīļais, es nebaidos tev uzticēties.
  21. To, ko Dievs savienojis, cilvēkam nebūs šķirt…
  22. Es esmu tik priecīga, ka tu esi manā dzīvē.
  23. Šodien, rīt, vienmēr…esi mans!
  24. Es esmu precējusies ar ļoti seksīgu vīrieti!
  25. Es tevi vienmēr mīlēšu.
  26. Tu esi mans vienīgais un neatkārtojamais! Es tev esmu pateicīga par visu!
  27. Gribu tavos apskāvienos!
  28. Esmu noilgojusies, atgriezies ātrāk mājās. .
  29. Piedāvāju pateikt darbā, ka esi saslimis – pavadīsim visu dienu gultā?
  30. Tu esi mans aizsargs un balsts.
  31. Tu esi mana saule.
  32. Šodien ir vienkārši ideāls vakars vakariņām. Tiekamies 7.
  33. Tu esi mans vistuvākais cilvēks.
  34. Čau! Es tevi mīlu. Tev tas jāzina.
  35. Nevaru sagaidīt mūsu tikšanos.
  36. Skaitu minūtes līdz mūsu tikšanās reizei.
  37. Tu esi vislabākais tētis pasaulē!
  38. Es gribu, lai tu zinātu, cik ļoti man ar tevi ir paveicies!
  39. Būt kopā ar tevi… ir vislabākais, kas vien pasaulē var būt!
  40. Gribu, lai tu mani noskūpsti!
avots: cluber.com.ua

Brīvās meitenes kurpēs

If you ever go home with somebody and they don’t have books in their house, don’t sleep with them. I think that’s very important.

 /John Waters/

 

Internetā nejauši ieraudzītais citāts lika man aizdomāties – cik gan bieži mēs dodamies uz randiņiem ar cilvēkiem, kurus esam jau norakstījušas vēl pirms pārkāpjam mājas slieksnim, cik bieži iesaistāmies attiecībās zinot, ka tur nekas nesanāks, un cik bieži (Nedod Dievs!) stāvam pie altāra līdzās kādam no kura dveš aura – es neesmu tev piemērots!

Vai mēs neesam pārstājušas redzēt acīmredzamas lietas, saskatīt sakarības, kas liecina, ka konkrētais cilvēks nav mūsu stāsta varonis?! Protams, mēdz teikt – nepamēģinot neuzzināsi. Es uzskatu, ka tās ir muļķības, kaut kur dziļi sirdī mēs visas zinām atbildi vēl pirms iesaistāmies konkrētās attiecībās vai ielaižamies dēkās. Mēs ignorējam zīmes – kaitinoša rakstura iezīme, vizuāla antipātija vai pat seksuāla nesaderība. Ja atbilde slēpjas mūsos, kāpēc mēs to apspiežam un ļaujamies straumei?

Protams, statistika ir neapgāžama, – lai satiktu vienu reālu kandidātu uz tavu sirdi, tev jāpiedzīvo vismaz 10 mokpilni, pašapziņu graujoši randiņi pēc kuriem gribas stiepties pēc milzīgas vīna glāzes un raudāt uz pleca draudzenei. Taču tā ir dzīve – lai aizraktos līdz lappusei, kurā rakstīts – and they lived happily ever after, tev ir jāapēd puda sāls un jāizraud vesels spainis asaru.

Nezinu vai esi pamanījusi, bet žurnālā Cosmopolitan ir parādījusies jauna rubrika – Brīvās meitenes kurpēs, kurā mūsu lieliskā (brīvā) kolēģe Maija meklē savu Prince Charming. Lasot šo rubriku vienā brīdī gribas pilnā balsī smieties, bet citā panikā saķert galvu – vai šādi vīrieši (precīzāk indivīdi) tiešām vēl eksistē?! (Tas bija retorisks jautājums.) Taču tā ir reālā dzīve ar pavisam reālu Maiju un reāliem vīriešiem. Es te runāju aplinkus, taču galvenais, ko gribēju teikt – attiecību veidošana nav nekāda raķešu zinātne, to es zinu pēc pieredzes. Ja randiņā tevi otrā kaitina, neapmierina, aizskar, aizvaino…vismaz viena lieta, tad nepūlies doties uz otro vai trešo randiņu – tas nepāries un tu neiemacīsies ar to sadzīvot (tev nemaz tas nav jādara). Protams, runāt atrodoties barikāžu otrā pusē (precētas meitenes statusā) ir viegli, taču nedomā, ka es izspruku cauri sveikā (man arī bija pieraudāts spilvens un vīna glāzes, ko es te cenšos apmānīt – pudeles). Attiecībām ir jābūt priekpilnām, ar īsto cilvēku. Man atausa atmiņā vēl viens citāts: “A relationship is like couture – if it doesn’t fit perfectly, it’s a disaster.”

Izbaudi savu brīvas meitenes stausu, iekāp savās satriecošajās kurpēs un esi pašpietiekama (Cosmo meitenēm tas padodas lieliski). Un atceries, tavs vīrietis ir tepat aiz stūra. Neiznieko laiku pagaidu attiecībās – tu esi pelnījusi, ko labāku!

 

Jaunums: Aizsargājošs kaņepju roku krēms no The Body Shop

The Body Shop ikoniskais Kaņepju aizsargājošais roku krēms ieguvis drosmīgu jaunu īpašā dizaina iepakojumu, ko radījis viens no pasaules slavenākajiem ielu māksliniekiem – EINE.

Tas ir ļoti intensīvs krēms sausām, raupjām rokām. Ātri iesūcas, mitrina un aizsargā – gluži kā neredzami cimdi. Līdz 12 stundu ilga iedarbība. Kopj nagus un nagu valnīšus. Satur Godīgas tirdzniecības ietvaros iegūto kaņepju sēklu eļļu un bišu vasku. Dermatoloģiski testēts un saņēmis Cosmopolitan Latvia Beauty Awards 2012 kā labākais roku krēms.

Iegādājies jaunā dizaina roku krēmu un nobalso, kam vēlies palīdzēt! No katra nopirktā roku krēma 1,50 £ tiks novirzīti The Body Shop fondam, lai aizsargātu un bagātinātu mūsu planētu, okeānus, dzīvniekus un cilvēkus.

Šo 4 produktu trūkums organismā provocē spēcīgas galvassāpes. Žēl, ka es to nezināju jau agrāk!

Galvas sāpēs ir vēstneši neskaitāmām saslimšanām. Galvas sāpēm ir arī daudz un dažādi veidi, bet viens no visnepatīkamākajiem un neciešamākajiem ir migrēna. Šis vārds un šīs sāpes pazīst gandrīz katrs 6tais planētas iedzīvotājs. Migrēnas sāpes parasti ir lokālas un visbiežāk sāp viena no smadzeņu puslodēm. Visbiežāk migrēna tiek novērota emocionāliem cilvēkiem ar palielinātu stresu, līdz ar to arī ar noslieci uz depresiju.

1

Galvas sāpju iemesli
Daudzām sievietēm galvas sāpes var būt iedzimtības problēma, tāpat arī nepareizs dzīves veids vai nosliece uz psihoemocionalitāti. Liela nozīme ir arī vecumam – pretēji daudzām citām slimībām, kuras ar gadiem kļūst arvien spēcīgākas, ar migrēnu ir savādāk – tā spēcīgāk izpaužas gados jauniem cilvēkiem (jau sākot no pusaudžu vecuma), bet ar gadiem sāk zust, līdz pat tam, ka pazūd vispār.

Migrēnas lēkmju gadījumā, ārkārtīgi liela nozīme ir pareizam uzturam. Ir pierādīts, ka atsevišķu elementu iztrūkums organismā var provocēt spēcīgas galvas sāpes, līdz pat 4 reizēm biežāk nekā novērots vidēji. Ir noteiktas 4 grupas vielu, kuru iztrūkums veicina migrēnas rašanos.

2

Folijskābe un vitamīns B12

Cilvēkiem, kuriem trūkst šo vielu, visai bieži novērota pārlieku liela izklaidība un aizkaitināmība. Tāpat šie cilvēki, vairāk nekā citi, ir pakļauti stresam. Interesanti, ka pietiekoši bieži mēs cenšamies uzveikt galvas sāpes ar preparātiem, kuru sastāvā ir aspirīns, bet šī ir tā viela, kura samazina folijskābes un B12 daudzumu organismā. Spināti ir čempionu čempioni pēc folijskābes daudzuma tajos, tāpat ar šo vielu ir bagāti brokoļi, sparģeļi, avokado, bietes, ķirbji. Vitamīns B12  savukārt ir atrodams vistu olās.

3

Varš un dzelzs

Vara un dzelzs deficīts visbiežāk ir raksturīgs sievietēm un taisnā tas ceļā ved uz anēmiju, hipotoniju, migrēnu un depresiju.  Ar varu bagātas ir pupiņas, kazas siers, avokado, savukārt regulāri lietojot dažādus zaļumus – salātu lapas, sezama sēkliņas, aknas un jūras kāpostus, tiks palielināti dzelzs krājumi organismā.

4 (1)

Vitamīns B6

Vitamīna B6 (piridoksīns) deficīts organismā ir viens no galvenajiem faktoriem, kādēļ rodas asinsvadu slimības. Šo vitamīnu lielā daudzumā var atrast pupiņās, aknās, svaigos dārzeņos, tāpat arī graudaugos. Ja vēlies saglabāt veselās smadzenes, nervus, sirdi un asinsvadus, neaizmirsti lietot šos produktus.

5

Vitamīns D

Vitamīns D dabīgā veidā izstrādājas mūsu organismā saules ietekmē. Tumšajā ziemas periodā šis vitamīns ir jāuzņem ar pārtiku. Olas, pupiņas, aknas, jūras produkti un piena produkti satur šo tik svarīgo vitamīnu.

Pilnvērtīgs uzturs, nodarbošanās ar sportu un pastaigas svaigā gaisā palīdz samazināt migrēnu biežumu un intensitāti. Savukārt noņemt stresu un mazliet nomierināties var palīdzēt aromterapija.

avots: takprosto.cc

Bail skatīties, ko sievietes dara ar arbūzu

https://www.youtube.com/watch?v=2hKvc5ShcHk#t

Viens no precīzākajiem horoskopiem 2016. gadam. Izlasi un pārliecinies!

 

1421

Attiecieties pret to nopietni. Ja jūs padalīsieties ar šo rakstu, jūs sagaida vismaz 2 veiksmīgi gadi!

Mēs visi ceram, ka Jaungada nakts atnesīs mums asu Notikumu pavērsienu turpmākajās 365 dienās. Mēs vēlamies vairāk veiksmes, mīlestības un laimes. Visas cerības uz labvēlīgām attiecībām ar Mērkaķi 2016. gadā. Ko gan mums atnesīs Mērkaķa gads?

Un tā – sākam!

AUNS

VĒRSIS

DVĪŅI

VĒZIS

LAUVA

JAUNAVA

SVARI

SKORPIONS

STRĒLNIEKS

MEŽĀZIS

ŪDENSVĪRS

ZIVIS

Uzzini, kuras zodiaka zīmes ir īstas “maitas”

svo
kaifzoma.ru

Mēs atklāsim tev to, kas klusībā slēpjas 12 visiem zināmās zodiaka zīmēs. Tādām īpašībām tu, iespējams, nebiji gatavs…šīs ir 12 zodiaka zīmes – maitas. Iepazīsti ķēmus!

Tu droši vien netici horoskopiem, bet tik un tā laiku pa laikam slepus lasi zvaigžņu pareģojumus no astrologiem-diletantiem vietējās avīzes pēdējā lapaspusē. Nu ko, met pie malas tās blēņas! Ir pienācis laiks paskatīties uz ierastajām zodiaka zīmēm no pilnīgi citas puses. Lūk, tev horoskops ar humoru.

Auns

Nervozā un impulsīvā Maita. Ar to laikam ir izteikts viss. Uzreiz pēc izdarītā lūgs tev piedošanu – skaļi, ar pelnu kaisīšanu uz galvas un tamlīdzīgiem teatrāliem efektiem (lai rīt atkal ķertos pie vecā ieraduma), vai arī nelūgs – lepnums, redziet, neļauj.
Atrunas: “Piedod, kaut kas uznāca”, “Uznāca besis”.

Vērsis

Taupīgā Maita. Tādam var pat nejautāt: “Vai tu vispār aptver, ko dari?” Tici, un kā vēl aptver. Viņš, protams, visu jau iepriekš ir aprēķinājis, kur sist, lai būtu sāpīgāk.
Atrunas: “Tu pats to esi pelnījis”.

Dvīņi

Vieglprātīgā Maita. Bieži vien vienkārši nesaprot, ka uzvedas kā pēdējā maita. Par izdarīto nelietību aizmirst pēc 5 minūtēm.
Atrunas: “Tu ko, apvainojies? Kāpēc?”

Vēzis

Pārnelaimīgā Maita. Tu esi maita, bet viņš – nevainīgs apstākļu upuris. Un tā būs vienmēr, pat, ja pāridarījumu uz viņa sirdsapziņas ir desmitreiz vairāk nekā uz tavējās. Vēl vairāk, viņš parūpēsies, lai visa pasaule uzzin par to, kā tu ar viņu, nabadziņu, šausmīgi apgājies.
Atrunas: “Tu pats mani piespiedi!”

Lauva

Narcistiskā Maita. Viņš ir gudrs un varens, viņš ir cars, visi pārējie – atkritumi zem kājām. No šī stāvokļa arī izriet visas viņa nelietības.
Atrunas: “Man tā sagribējās”.

Jaunava

Ļaunatminīgā Maita. Kaut kur kaut kad tu šķērsoji viņai ceļu ( vai vienkārši par viņu neveiksmīgi izteicies) – saņem pēc nopelniem! Visus šos gadus viņa vienkārši gaidīja piemērotu izdevību, lai izlietu visu to draņķi, kas viņā iekšā bija krājies.
Atrunas: nevainīga — “Es?! Kā tu vispār kaut ko tādu varēji iedomāties!” vai arī uzvaroši “Ahā, atceries…”

Svari

Gļēvulīgā Maita. Svari vispār ieņem 1. vietu maitu reitingā. Zemiska, amorāla radība. Te meloja, tur apmeloja, tur nodeva – tāds dzīvesveids. Un viss gļēvulības dēļ.
Atrunas: nekādas. Salaida dēlī visu un noslēpās.

Skorpions

Principiālā Maita. Principi var būt jebkādi, bet ne jēga. No viņa supersarežģītā pasaules uztveres viedokļa tu pārkāpi kaut kādu aizliegumu un tāpēc tev ir jāsaņem sods. Sevi viņš uzskata par Taisnīguma ieroci (jā, ar lielo burtu).
Atrunas: nekādas. Un augstprātīgi uzrauts zods.

Strēlnieks

Skandalozā Maita. Stulbais lauku vecis, muļķe pēdējā…Gūst baudu no konfliktiem kā tādiem.
Atrunas: bezjēdzīgs teksts, pārlieku piebāzts ar lamuvārdiem, paaugstinātā tonī.

Mežāzis

Stūrgalvīga un aprobežota Maita. Vērša vienaldzība + Lauvas egoisms + viņa paša neatkārtojamais stulbums. Vēl skopums piedevās.  
Atrunas: “Tā gadījās”.

Ūdensvīrs

Ciniskā Maita. Godpilnā 2. vieta pēc Svariem. Izdarīs ko nejauku tikai tāpēc, lai pasmietos par tavām ciešanām. Viņam ir iedzimta sirds kaite – tas ir, tās (sirds) trūkums.
Atrunas: “Ha-ha”.

Zivis

Vienaldzīgā Maita. Izdzirdot kliedzienu “Palīgā!” aizcērt durvis, un ciešāk ietinās segā. Negaidi, ka viņš atnāks pie tevis uz slimnīcu, kur tu velc savas pēdējās dienas un pārtiec no špricēm vien.
Atrunas: “Katrs pats par sevi, piedod”.

Atpazini šajos zvaigžņu vēstījumos sevi vai savu kaimiņu? Ceru, ka mēs nevienu nenomelnojām…

Ļauj saviem draugiem pret tādām lietām kā zvaigžņu pareģojumi attiekties ar humoru – parādi viņiem zodiaka zīmju – maitu horoskopu.

avots: kaifzona.ru

Baltāki zobi tikai 3 minūtēs – neizejot no mājas

Baltāki zobi tikai 3 minūtēs - neizejot no mājas

Vai Jūsu zobi ir iekrāsojušies dzeltenīgi, brūngani vai pelēcīgi? Jūs esat zaudējuši pārliecību par savu smaidu? Ja tā, tad šis video ir domāts Jums. Pastāv vairāki veidi, kā atrisināt šo problēmu un, pirms, Jūs pieņemat lēmumu padarīt zobus gaišākus, būtu vēlams iepazīties ar pieejamajām metodēm, procedūrām, izmaksām, kā arī iespējamiem rezultātiem, kā pozitīviem, tā arī ne tik ļoti pozitīviem. Šajā video palasot komentārus redzam, ka domas dalās un ne visi piekrīt šim zobu balināšanas veidam. Zobu balināšanai ir arī savas ne tik pozitīvās puses. Vispirms jāpiemin tas, ka ne visiem var veikt zobu balināšanu, jo balināt ieteicams tikai veselus zobus. Bet ja nepamēģināsim, kā zināsim ka šī metode nedarbojas?

Viņa aizgāja bojā, atjaunojot savu statusu Facebook. Viņas pēdējais ziņojums satrieca visu internetu…

Mēs visi it kā zinām, ka novērst uzmanību, esot pie stūres, ir bīstami. Bet īsziņu rakstīšana vai lasīšana auto vadīšanas laikā – tas vispār ir neprāts. Un tomēr, ne visi par to atceras, kad sēžas pie stūres.

Statistika liecina, ka īsziņu rakstīšanas bīstamība auto vadīšanas laikā ir par 6 reizēm lielāka par to bīstamību, kuru jūs uzņematies, kad sēžaties pie stūres dzērumā.

Kortnija Senforda bija skaista 32 gadus veca meitene, kura priecājās par dzīvi un gandrīz nekad nebija noskumusi.

Viņas stāsts ir traģisks un pamācošs vienlaicīgi. Tas var kalpot par piemēru visiem, kuriem patīk novērst uzmanību, kad sēž pie auto stūres, atjaunot savu statusu sociālajos tīklos, uzrakstīt īsziņu vai nopublicēt tikko kā uzņemtu pašportretu.

1
misstits.ru

Tajā briesmīgajā rītā viņa sēdēja pie auto stūres, pēc tam nolēma uzlabot grimu, skanot leģendārajai Farella Viljamsa dziesmai “Happy”. Šī dziesma tik ļoti iedvesmoja meiteni, ka viņa atjaunoja savu statusu sociālajā tīklā Facebook. Viņa uzrakstīja: “Šī jautrā dziesma dara mani LAIMĪGU!”. Un pievienoja tiko kā uzņemtu pašportretu.

2
misstits.ru

 

Tas notika plkst. 8:33, bet jau pēc minūtes, plkst. 8:34 notika neizbēgamais: meitene nenovaldīja stūri, iebrauca pretējā virziena joslā un ietriecās atkritumu vākšanas mašīnā. Trieciens bija tik spēcīgs, ka Kortnijas mašīnu acumirklī iemeta grāvī.

2373
misstits.ru

Atkritumu vākšanas mašīnas vadītājs tika cauri ar izbīli un dažām skrambiņām, bet sociāli aktīvā meitene bija beigta uz vietas. Tas dzīvespriecīgais ziņojums tīklā kļuva par Kortnijas atvadu sveicienu. Tāda, lūk, ir likteņa ironija…

4
misstits.ru

Nākamreiz, kad jums gribēsies novērst savu uzmanību auto vadīšana laikā, lai ieskatītos telefonā, atcerieties šo stāstu. Un sargiet sevi!

avots: misstits.ru

12 svarīgas zīmes sapņos, kuras nevajadzētu ignorēt…

maxresdefault
Lifter.com.ua

Sapni mēs uzskatām tikai par līdzekli, lai uzlādētu baterijas. Un tomēr, šajās 6 – 9 stundās katru dienu atpūšas tikai mūsu iekšējie orgāni. Smadzenes nepārstāj strādāt ne uz mirkli.

Laikā, kamēr mēs guļam, mūsu smadzenes un zemapziņas veic diezgan nopietnu darbu – caur mūsu sapņiem. Faktiski katru reizi, kad mums kaut kas parādās sapnī – tas ir zemapziņas mēģinājums aizklauvēties līdz mums, brīdināt par kaut ko svarīgu.

Psihoterapeits Džefrijs Sambers stāsta:

“Mūsu sapņu jēga ļoti bieži ir saistīta ar lietām, kuras mums ir vajadzīgas. Sapņi pastāv tāpēc, lai palīdzētu mums labāk izprast sevi un pasauli mums apkārt”.

Lūk, ekskluzīvs saraksts ar svarīgiem simboliem, kurus sapņos varam satikt. Un, saprotams, to interpretācija.

Ko cenšas mums pateikt mūsu zemapziņa, kamēr guļam?

  1. Kastes.
    1
    Lifter.com.ua

Noslēpumi un vilšanās.

Ja jūs sapņojat par kastēm, tas nozīmē, ka jūsu zemapziņa uztraucas par jūsu noslēpumiem. Iespējams, ka jums ir grūti tos paturēt pie sevis, bet varbūt ir tā, ka jūs ļoti ciešat no nepieciešamības melot kādam no tuviniekiem. Varbūt jūs baidāties, ka no jums tiek slēpts kaut kas svarīgs?

Ja sapnī jūs šīs kastes atverat, tas nozīmē, ka ir pienācis laiks atklāt savus noslēpumus. Vai arī pieprasīt, lai tos atklātu tie, no kuriem jūs to gaidāt.

Ja savos sapņos atverat kastes, bet tās ir tukšas, tas nozīmē, ka jūs dotajā brīdī izjūtat ļoti spēcīgu vilšanos dzīvē.

  1. Kritiens.
    2
    Lifter.com.ua

Kontroles zudums, paaugstināta briesmu, trauksmes sajūta.

Ļoti bieži cilvēkiem ir sapņi, kuros tie krīt no augstuma. Vai vienkārši planē uz leju. Ar tādu neparastu mājienu jūsu zemapziņa cenšas jums pateikt, ka pārāk daudz lietas jūsu dzīvē ir zaudējušas kontroli.

Jūs varat pārlieku baidīties no citu atteikumiem vai arī esat izdarījis pārāk riskantu izvēli dzīvē. Varbūt, ir vērts pārskatīt kādu no nesen pieņemtajiem lēmumiem?

Ja jums izdzīvojat brīvā kritiena sajūtu atka un atkal, tas nozīmē, ka ir pienācis laiks koncentrēties uz tiem mirkļiem dzīvē, kuri izraisa jūsos vislielāko trauksmi.  

Ja tādu brīžu nav, tas nozīmē, ka jūsu bailes ir iracionālas. Šādos gadījumos palīdz meditācija un joga.

  1. Kaķi.
    3
    Lifter.com.ua

Sievišķība, garīgums un vara.

Kaķi ir spēcīgs simbols, turklāt nav svarīgi, vai sapnī šo tēlu iegūstat jūs, vai arī kāds cits.

Jūsu zemapziņa jums saka, ka jums ir vajadzīgi biežāka kontaktēšanās ar sieviešu dzimtas pārstāvēm. Vai arī par to, ka ir laiks kļūt sievišķīgākais. Iespējams, ka jums ir vērts veidot dziļākas attiecības ar sievietēm.

Un vēl kaķi bieži ir dziļas, personīgas, garīgas atmošanās simbols.

  1. Zobi.
    4
    Lifter.com.ua

Novecošanās, ārējais izskats, veselība.

Daudzi cilvēki, kuri miegā pazaudē savus zobus, var sajusties tā, it kā viņu dzīve būtu pārvērtusies par murgu. Zobi ir baiļu simbols pirms vecuma vai nāves.

Labākais veids, kā cīnīties ar šīm bailēm – ieradums dzīvot uz pilnu klapi katru dienu. Un katrā dienā atrast kaut ko pozitīvu.

Iespējams, ka tādējādi jūsu zemapziņa jums saka, ka jūs esat pārāk norūpējies par savu ārējo izskatu vai ka nepietiekoši nopietni rūpējieties par savu veselību. Galu galā, svarīgi ir ne tikai tas, kā jūs izskatāties, bet arī tas, kā jūs jūtaties.

  1. Skudras.
    5
    Lifter.com.ua

Atbalsts, smags darbs un aizkaitinājums.

Visvirspusējākā līmenī, ja sapnī redzat skudras, tas nozīmē, ka esat diezgan aizkaitināti. Jums liekas, ka jūs pārāk daudz strādājat, un dzīve paiet jums garām. Iespējams, ka jūsu prāts cenšas jums pateikt, ka jums nav jāatrisina visas jūsu problēmas uzreiz un tagad. Bet šie sapni var nozīmēt arī pretējo: jums nevajag ļaut problēmām uzkrāties.

Skudras ir būtnes, kuras daudz un smagi strādā. Ja jūs sapņojat par skudrām, tas nozīmē, ka jums ir nepieciešams atbalsts un kopīgs darbs.

Tāpat tas nozīmē, ka jūs novērtējat attiecības un ka jūs protat dalīties ar saviem draugime un ģimeni.

  1. Mati.
    6
    Lifter.com.ua

Seksualitāte, statuss un brīvība.

Ja jūs sapņojat par matiem, tas nozīmē, ka jūsu dzīvē ir diezgan daudzi cieši fiziski kontakti. Iespējams, jūs uztraucaties par to, ka jūsu partneri jūsos interesē tikai sekss, kaut arī jūs varētu piedāvāt kaut ko daudz vairāk. Jūsu zemapziņa jums saka, ka ir pienācis laiks pieņemt savu seksualitāti un nekautrēties no tās.

Mati simbolizē arī vēlēšanos izveidot daudz ciešākau saikni ar citiem cilvēkiem. Iespējams, ka jūs neapmierina jūsu sociālais statuss. Iespējams, ka jūs gribētu biežāk apmeklēt ballītes. Bet var būt arī, ka jūs neapmierina jūsu attiecības darbā vai ģimenē.

Ja jūs sapņojat tikai par gariem matiem, tas nozīmē, ka jūs tiecaties pēc lielākas brīvības. Acīmredzmi ir pienācis laiks tikt vaļā no mākslīgajiem ierobežojumiem un izplest spārnus!

  1. Ūdens.
    7
    Lifter.com.ua

Ambīcijas, risks un pārmaiņas.

Ūdeni sapņos parasti redz cilvēki, kuriem patīk riskēt vai arī lielīties par viskaut ko. Jūs dievināt izvirzīt sev lielus mērķus, bet jūsu zemapziņa grib, lai jūs turpinātu tiekties uz Mēnesi.

Iespējams, ka tieši tagad jūms priekšā ir grūta izvēle: atstāt dzīvē visu, kā ir, vai arī izlemt par labu nopietnām pārmaiņām. Ja jūs sapņojat par ūdeni, tas nozīmē, ka zemapziņa no jums pieprasa izlēmīgu rīcību. Tas var būt bailīgi, bet pretējā gadījumā jūs nekad tā arī nesaņemsiet to, par ko tik kaislīgi sapņojāt.

Ja jūs pastāvīgi sapņojat par ūdeni, tas nozīmē, ka jūs esat elastīgs, vienmēr gatavs pārmaiņām. Jūsu dzīve vienmēr būs vienkārša un ērta, neskatoties ne uz ko.  на что.

  1. Lidojums.
    8
    Lifter.com.ua

Drosme un optimisms.

Lai arī daudzi no mums gribētu “lidot”, jūs patiesībā varat to darīt. Vismaz sapņos noteikti. Ja jūs sapņojat par lidojumiem, tas nozīmē, ka jūs esat gatavs veikt kārtējo drošo izvēli savā dzīvē.

Tieši tagad jūs dzīvojat zem spēcīga ārējā spiediena, bet saucat to par “rutīnu”. Jūsu dvēsele meklē brīvību. Runa šeit, visticamāk, ir par jūsu karjeru vai privātajām attiecībām. Atcerieties, ka jūs jebkurā brīdī varat aizlidot tālu prom no ierastās rutīnas, un tas dos jums iespēju tikt dzīvē vēl augstāk.

Jūsu optimisms var tikt saglabāts tikai tādā gadījumā, ja jūs pats patstāvīgi parūpēsieties par savu brīvību.

  1. Ceļš.
    9
    Lifter.com.ua

Liktenis un vienkāršība.

Jūs dzīvi uztverat kā sarežģītu un līkumotu ceļu. Vismaz, šajā dzīves posmā. Ja jūs sapņojat par ceļiem, tas nozīmē, ka jūsu zemapziņa cenšas līdz jums nogādāt vienu svarīgu tēzi: vienkāršojiet. 

Atbrīvojiet savu dzīvi no nevajadzīgās drāmas. Atcerieties, ka ikdienas sīkumiem pēc dažām nedēļām/mēnešiem/gadiem nebūs nekāda jēga. Tā vietā, lai apdomātu savas problēmas, koncentrējieties labāk uz to, kas notiek ar jums tieši šeit un tagad.

Par laimi, jūs esat viens no tiem nedaudzajiem cilvēkiem, kas patiesi tic liktenim. Un tas ir lieliski! Bet nebaidieties uzņemties vairāk riskus un izbaudīt uzdevumus, kurus jūs saņemat savā dzīves ceļā.

  1. Dubļi.
    10
    Lifter.com.ua

Izaugsme un nekārtība.

Tāpat kā jūsu automašīna var iestigt dubļos, tā arī jūs, liekas, esat iestrēdzis dzīvē. Vismaz, ja jūs sapņojat par dubļiem, tad tieši to jums cenšas pateikt zemapziņa.

Jums ir nepieciešams laiks, lai “tiktu ārā no šiem dubļiem”. Bet tam jāķeras klāt tūlīt pat!

Dubļi simbolizē arī izaugsmi un atdzimšanu. Jūs, kā puķe, kas aug augsnē, varat kļūt, par ko vien vēlaties un izlabot sevī jebkuru trūkumu..

Iespējams, jūs baidāties, ka jūsu dzīvē ir kļuvis pārāk daudz neatrisinātu problēmu. Un šī pieaugošā trauksmes sajūta prasa, lai jūs pamainītu savas dzīves tempu.

  1. Zaļā krāsa.
    11
    Lifter.com.ua

Mīlestība, izdziedināšanās un kaisle.

Ja jūs daudz sapņojat par zaļo, tas nozīmē, ka jūs esat ļoti apmierināts ar savu dzīvi esošā dzīves posmā. Jūs mīlat pasauli kopumā un daļēji arī apkārtējos. Iespējams, ka jūs pat izjūtat viņu mīlestību pret sevi vairāk nekā parasti. 

Turpiniet dzīvot katru savas dzīves dienu ar jums neatņemamo tagadējo kaislību. Jūsu zemapziņa cenšas jums pateikt, ka jums nav tiesību izniekot savu potenciālu. Turpiniet palikt tikpat kaislīgs darbinieks, mīļotais un draugs.

Zaļā krāsa norāda arī uz to, ka jūs esat izgājuši caur ļoti svarīgu emocionālu sadzīšanas procesu. Tādas lietas prasa laiku un draugu, kā arī ģimenes palīdzību. Par laimi, tas jums ir jau aiz muguras!

  1. Kailums sabiedriskā vietā.
    12
    Lifter.com.ua

Nosodījums, ievainojamība un pieņemšana.

Tas var likties dīvaini, bet lielākā daļas cilvēkiem vismaz vienu reizi sapņos ir rādījies, it kā viņi kaili atrastos milzīgā cilvēku pūlī. Tas ir tāpēc, ka kailums sapnī simbolizē universālas bailes: bailes tikt nosodītiem.

Iespējams, ka jūs nesen esat pārdzīvojis stresu, kas saistīts ar pazemojumu. Iespējams, ka jūs prevalē personīgās ievainojamības sajūta, kaut arī šīm sajūtām ir subjektīvs raksturs.

Jūsu mērķis tādos gadījumos ir tikai viens: pieņemt pašam sevi. Jūsu zemapziņa gri, lai jūs lepotos ar to, kas jūs esat. Pieņemiet šos sapņus kā signālu, kas vēsta par nepieciešamību atmosties un pieņemt sevi. Paskatieties spogulī un sakiet: “Es mīlu tevi”.

avots: Lifter.com.ua

14 ģeniāli slavenību padomi notievēšanai

2425793-7

Kas gan cits, ja ne Holivudas zvaigznes ar savām noslīpētajām figūrām var dot padomus par fitnesu un notievēšanu? Viņas konsultējas ar labākajiem treneriem, dietologiem un, kas ir pats svarīgākais, patiešām ievēro viņu ieteikumus. Šodien tādas augstākā līmeņa zvaigznes Džidži Hadidas un Rozijas Hantingtones-Vaitlijas stila modeles, kā aktrise Keita Hadsone un Gvineta Paltrova stāsta par saviem slaidas un nevainojamas fiziskās formas noslēpumiem tieši tev:

Džidži Hadida: Sevi vajag šad tad palutināt 

“Es vienmēr saku: “Ēd veselīgu barību, lai saglabātu formu, bet atļauj sev apēst kādu burgeru, lai nesajuktu prātā”.

Rozija Hantingtone-Vaitlija: Sāc dienu pareizi

“Tikko kā es pamostos, lieku sev izdzert līdz pat vienam litram tīra ūdens. Esmu pamanījusi, ka pēc miega organisms bieži vien ir dehidrēts un šāds vienkāršs rituāls ļauj savest to kārtībā un uzsākt gremošanas procesus. Brokastis manā izpratnē nav mazāk svarīgas. Es dodu priekšroku vārītām olām vai omletei ar spinātiem kopā ar zaļumu sulu”.

Dženifera Gārnere: Izmanto fantāziju attiecībā uz savām vājībām pret ēdienu

“Es zinu, ka nevaru atļaut sev parastos ogļhidrātus. Ja man kārojas kartupeļi, tad priekšroku došu saldajam kartupelim – batātei, bet nekad to necepšu eļļļā”.

Džozefīna Skrīvere: Attīri organismu

“Tas skanēs garlaicīgi, bet es vienmēr no rīta un pirms miega izdzeru karstu ūdeni ar citronu. Tas palīdz atbrīvot ķermeni no toksīniem un, pateicoties tam, mana āda kļuvusi daudz tīrāka. Šo triku man iemācīja viens slavens ķīniešu kosmetologs. Pamēģini ievērot šo noteikumu kādas divas – trīs nedēļas, un tu patiešām pamanīsi izmaiņas”. 

Dženifera Hadsone: Skaties iekšā

“Galvenais ir saprast, kur tieši ir tava problēma – kā likums, vainīgs nav ēdiens. Jābūt ir godīgai pašai ar sevi. Vienreiz vajag vienkārši apstāties un pajautāt sev: “Kāpēc man patiesībā tik ļoti gribas šo šokolādīti?”. Es, piemēram, sapratu, ka ēdu saldumus, lai nomierinātos, tiktu vaļā no stresa, un nevis tāpēs, ka patiešām to vēlos. Bet no spriedzes var tikt vaļā arī savādāk – tikko tu to sapratīsi, tā spēsi kontrolēt savas gastronomiskās kaislības”.

Drū Berimora: Vienkārši samazini porcijas

“Visvienkāršākais veids, kā notievēt – ēst mazāk! Es negribu pilnībā atteikties no tā, kas man garšo – šāda veida ierobežojumi liek tev gribēt aizliegtos produktus vēl vairāk. Labāk apēst mazu gabaliņu, apmierināt savu vēlmi un pie tā arī apstāties”.

Keita Hadsone: Zināšanas ir spēks

“Mana draudzene Džinifera Gudvina kaut kā man izstāstīja par aplikāciju MyFitnessPal, un kopš tā brīža es ar to nešķiros. Šī aplikācija palīdz man precīzi uzzināt, cik kalorijas esmu uzņēmusi un cik iztērējusi. Pateicoties tai es uzzināju, ka nelielā itāļu picas gabaliņā ir tikai 150 kalorijas, un tas nozīmē, ka pusdienās es pavisam mierīgi varu atļauties apēst pāris gabaliņus”.

Miranda Kera: ievēro “80/20” likumu

“Es ēdu 80 % veselīgu, pareizu ēdienu, bet pārējos 20 % es atstāju saviem saldumiem un kaitīgajiem, bet garšīgajiem produktiem. Es neatbalstu pilnīgu sevis ierobežošanu un visu dzīves prieku liegšanu”.

Gvineta Paltrova: Esi gatava tam, ka tev ne vienmēr būs viegli

“Ideāla figūra – tā nav nejaušība, ne veiksme, ne burvju nūjiņas vēziens un arī ne labi gēni. Ideāla figūra – tas ir nomirt sportzālē līdz pustrai stundai 5 reizes nedēļā, tā ir pašdisciplīna, tā ir pastāvīga pareiza ēšana. Man ir divi bērni, man vairs nav divdesmit, bet es nēsāju 38. izmēru un nekautrējos aiziet uz pludmali – tas ir rezultāts tam, ka es strādāju ar sevi bez žēlastības”.

Kellija Kuoko: Paņem pauzi

“Es cenšos apēst pusi no savām ierastajām porcijām. Ja ir sajūta, ka neesmu paēdusi, es novācu galda piederumus, iedzeru nedaudz ūdens un uztaisu 10 minūšu ilgu pauzi. Pēc tam izsalkums jau vairs nav jūtams, patiešām!”.

Džesika Alba: Pārspēj sevi viltībā, izdzerot vairāk ūdens

“Dažreiz izsalkums patiesībā nav izsalkums, bet gan slāpes. Bet parastais ūdens apnīk, tam nav garša – nomaini to ar kokosriekstu ūdeni, tā aromāts novērsīs tavas domas no ēdiena”. 

Hloja Kardašjana: Iepriekš pagatavo veselīgas uzkodas

“Es visu laiku kaut ko graužu starp ēdienreizēm, tāpēc es vienmēr sagriežu dārzeņus, augļus, ogas, salieku tos pusdienu traukos, un nēsāju sev līdzi”.

Teilore Svifta: Ļauj sev atpūsties

“Kad es cītīgi trenējos nedēļu no vietas un ļoti nogurstu darbā, tad sarīkoju sev pāris brīvas dienas un atpūšos no sporta. Tāpat šajās dienās es nesekoju līdzi tam, ko ēdu. Tas palīdz “pārstartēties” un ar jauniem spēkiem ķerties sev klāt”.

Šeja Mitčela: Atslābinies

“Es nekad nekrītu panikā. Stress negatīvi ietekmē figūru un ir viens no biežākajiem liekā svara parādīšanās iemesliem”.

avots: gigamir.net 

Kimas Kardašjanas krūtis: līmlente kuplām krūtīm

Kima Kardašjana ir pazīstama ar savām kuplajām formām. Turklāt uzmanību piesaista ne tikai meitenes pēcpuse, bet arī iespaidīgās krūtis. Tās Kima Kardašjana bez kautrēšanās un viltus pieticības, pilnā apmērā demonstrē uz sarkanajiem paklājiem. Vakar zvaigzne atklāja sava “sulīgā” dekoltē noslēpumu.

Izrādās, ka tvirtās Kimas Kardašjanas krūtis tik kārdinoši izskatās dekoltē pateicoties…. līmlentei. Līmlentes izmantošanā zvaigzne pati atzinās, padaloties ar atklātu fotogrāfiju savā blogā.

1

Ļaudis, man noteikti vajadzēja pastāstīt jums savu noslēpumu! Šis ir mans ideālā dekoltē noslēpums. Jūs vienkārši nolīmējiet krūtis ar līmlenti tā, lai tās būtu nedaudz piepaceltas. Nāksies pacensties, bet, ticiet man, tas ir tā vērts.

2
Es jau visu izmēģināju – sākot no ietīšanas lentu, bet sapratu, ka papīra līmlente der vislabāk. Tikai pārliecinieties par to, lai uz jūsu ādas nebūtu eļļa vai losjons..

3
Nevarētu teikt, ka zvaigzne būtu atklājusi kaut kādu super noslēpumu, jo mēs jau iepriekš esam rakstījuši par to, kā zvaigznes nēsā kleitas ar dziļu izgriezumu. Lai tērpi neīstajā brīdī neatklātu kaut ko vairāk no zvaigžņu ķermeņa, stilisti izmanto īpašu līmlenti.

avots: gigamir.net

Bezbailīga meitenīte iekaro kalnu virsotnes uz snovborda dēļa

Captured

Mazus bērnus uz snovborda dēļa var redzēt ļoti reti. Bet, ja tomēr redzi, tad tas nozīmē, ka bērnam ir liela drosme, lai ko tādu paveiktu.

Kā pārliecināti turēties uz dēļa, ja tikai pirms 4 nedēļām bērns sācis staigāt?

Noskaties šo video un redzēsi, kā tas ir jādara.  Ja vēl tavs bērns nav laidies lejā no kalna ar snovborda dēli, tad pamēģini – viņam noteikti tas izdosies! Galvenais, lai viņš nepadodas, un atceries par drošību!

Dodoties ar savu bērnu neaizmirsti parūpēties par visu ģimeni, piemēram, viņus apdrošinot. Jāpiemin, ka kalnu izklaides ir visai bīstamas, tāpēc cerams, esi apdrošinājis savu un savu mīļo veselību.

Daudz drošu piedzīvojumu kopā ar: 

polise

Avots: www.adme.ru

 

Superīgi skati! 18 pasaules skaistākās vietas

Capture

Uz mūsu planētas pastāv daudz īpašu nostūru, kurus noteikti ir vērts apmeklēt. Katra valsts sevī slēpj brīnumu, ko ir vērts redzēt ar savām acīm.

 Pat ja esi paspējis apceļot visu pasauli, galvenais, lai esi bijis šajās neticami skaistajās vietās.

Daudzas vietas izskatās kā fotogrāfijas, bet tā nav. Visi šie brīnumi ir īstenība. Dod vaļu savam gribasspēkam – un tu noteikti apceļosi kādu no šīm vietām.

 

  • Maldīvu salas

2

  • Bolīvija

3

  • Mīlestības tunelis, Ukraina

4

  • Natrona ezers, Tanzānija

5

  • Namībija

6

  • Glicīniju ziedu tunelis, Japāna

7

  • Islande

8

  • Melnais mežs, Vācija

9

  • Marmora alas, Čīle

10

  • Baltās smilšu kāpas, Jemena

11

  • Fingala ala, Skotija

12

  • Vulkāns Kelimutu, Indonēzija

13

  • Troļļu ceļš, Norvēģija

14

  • Lielais zilais caurums, Beliza

15

  • Huakačinas oāze, Peru

16

  • Lielais Venēcijas kanāls

17

  • Kjeragbolten akmens Norvēģijā

18

  • Ptera, Jordānija

19

 

Avots: www.pixy.ru

 

 

Randiņu izmaksas Latvijā un pasaulē

Biežākie randiņu scenāriji visā pasaulē parasti ir došanas uz kino, pēc tam vakariņās uz restorānu. Vakariņu laikā visbiežāk tiek izdzerti vairāki dzērieni un baudīta garda maltīte. Daudzās valstīs vīrieši vēlas atstāt uz sievieti labu iespaidu, tāpēc, ja vien nav personīgā auto, tad vīrietis dodas pie sievietes ar taksometru, kā arī izmaksā taksometru sievietei uz mājām.

Šādi randiņi noteikti ir piepildīti ar pozitīvām emocijām, tomēr tas izmaksā arī diezgan dārgi. Mūsdienās, ja cilvēkam līdz algai ir dažas dienas, protams, tiek piedāvāti sms kredīti internetā, pirms tam, protams, rūpīgi salīdzinot visus aizdevējus. Randiņu cenas pasaulē atšķiras. Dažās valstīs randiņš neizmaksā nemaz tik dārgi, savukārt citās valstīs, lai aizietu uz randiņu, jārēķinās ar lielāku naudas summu.

Bilde 1

Kino biļetes

Visdārgākās kino biļetes ir Ženēvā. Šeit, lai divatā aizietu uz kino, nepieciešami 35.95 eiro. Nemaz tik lēti nav arī Londonā, jo šeit divas kino biļetes izmaksās 31.50 eiro, savukārt Ņujorkā un Sidnejā būs nepieciešami apmēram 25 eiro. Apmēram 20 eiro būs nepieciešami, lai aizietu uz kino Maskavā, Madridē, Parīzē un Romā. Savukārt Rīgā divas kino biļetes izmaksās 11.80 eiro. 

Vakariņas diviem

Visvairāk vakariņas diviem izmaksās Ženēvā. Šeit vakariņas diviem izmaksās 119 eiro. Ar 100 eiro jārēķinās arī Ņujorkā. Londonā vakariņas diviem izmaksās 90 eiro, savukārt Sidnejā un Maskavā ap 70 eiro. Vakariņas diviem par 50 eiro var paēst Madridē, Parīzē un Rīgā.

Kokteiļi diviem

Romantiskā randiņā pāri parasti dod priekšroku kokteiļu baudīšanai. Visdārgāk šāds prieks izmaksās Ženēvā. Šeit par diviem kokteiļiem būs jāsamaksā 34 eiro. Savukārt 20-25 eiro būs jāmaksā Maskavā, Londonā, Madridē, Romā, Parīzē. Rīgā divi kokteiļi izmaksās apmēram 14 eiro.

Taksometra pakalpojumi

Rīgā taksometra pakalpojumi ir ļoti zemi, jo šeit būs jāsamaksā apmēram 5 eiro. Savukārt citās valstīs taksometru pakalpojumi ir vēl dārgāki. Ženēvā nāksies maksāt apmēram 30 eiro. Arī Maskavā, Londonā, Ņujorkā, Sidnejā, Madridē, Parīzē un Romā būs jāmaksā apmēram 20 eiro par taksometra pakalpojumiem.

Young couple holding hands with sun-flare.

Randiņu paradumi Latvijā

Aptaujā, kurā piedalījās 2066 respondentu vecumā no 18 līdz 65 gadiem, uz jautājumu “Kam jāmaksā par vakariņām pirmajā randiņā?, lielākā daļa viennozīmīgi atbildēja, ka vīrietim. Respondenti atzina, ka tas ir džentelmeņa cienīgs žests. Katrs trešais vīrietis šajā aptaujā atbildēja, ka mīļotajai meitenei viņam nekā nav žēl. Savukārt situācija mainās, kad cilvēki apprecas. Viedokļi dalījās trīs daļās. Viena daļa respondentu atzina, ka vīram ir jāmaksā par vakariņā. Otra daļa respondentu apgalvoja, ka vīram nav katru reizi jāmaksā par vakariņām, jo ik pa laikam norēķināties var arī sieva. Savukārt trešā daļa respondentu atzina, ka rēķins jāmaksā uz pusēm, jo ģimenē viss ir vienlīdzīgi.

 

 

Katram savas vājības

Sezonas preču izpārdošana ir pārbaudījums ne tikai ģimenes budžetam un skapja ietilpībai, bet arī savstarpējām attiecībām. Pārnākot no sirsnīga iepirkšanās maratona, pats grūtākais ir spert pirmo soli pāri mājas slieksnim – nodevīgā maisiņu čaboņa izvilina priekšnamā manu cienīto. Tam seko tāds skatiens, kura priekšā nobāl pat visrūdītākais robežsargs, bet rentgena aparāts piedzīvo reālu īssavienojumu. Kā punkts uz “i” ir dzēlīgi sarkastisks komentārs – vīra kungs no mīļotā pēkšņi pārvēršas par Džeriju Springeru vai vismaz Jāni Domburu.

“Mīļā, vai vēlies par to parunāt?”

“Sasodīts, nē!”

Lai kliedētu mulsumu par maisiņu daudzumu un iztērēto summu, piesarkušu seju aizslīdu pie skapja un klusējot karinu jauniegūtos dārgumus uz vīra pusē nočieptajiem tukšajiem pakaramajiem. Sirdsmieru rodu tikai ieslīgusi vannā un ielējusi tajā tikko nopirktās (kas par to, ka šogad jau piektās, šīs ir ar lavandas aromātu!) vannas putas.

Dabas likumi

Pēc viena šāda iepirkšanās maratona, pirms došanās pie prokurora (es atvainojos – vīra), satikos ar draudzenēm, lai palielītos, kura no mums veiksmīgāk finišējusi šopinga stafetē. Sarunas no mohēras jaciņām un vilnas žaketēm ātri pārgāja pie fantazēšanas, kur mēs tērētu naudu, ja sakrātu to, ko ik gadu atdodam par kārtējiem modes kliedzieniem.

“Bet patiesi, kas sievietes mudina tik daudz tērēt drēbēm, kamēr vīrieši pret šo sērgu ir imūni?” jautāja draudzene, kura tikai ar lūgšanos spēj dabūt vīru uz veikalu, lai viņam izdilušo čību vietā iegādātos jaunas.

“Dabā tēviņi ir apveltīti ar košu spalvu rotu, kamēr mātītes izskatās pavisam neuzkrītoši. Ja tā būtu arī cilvēkiem, varētu vēl to dabu saprast… Bet sievietes pat ikdienā uzcērtas tā kā rubenis riesta laikā,” ironizēja tipiskā sieviešu kolektīvā strādājošā Inese, kas ik dienas var vērot nemitīgus cīniņus par kolēģu–vīriešu simpātijām.

“Bet vai tiešām šī sērga ir aktuāla tikai sievietēm? Vīrieši taču ir gadžetu pavēlnieki! Mēs mērāmies ar kurpju papēžu augstumu, bet viņi – ar telefona un datora modeļiem,” smējās draudzene, kuras vīrs nopietni apsver domu par tehnoloģiju bloga rakstīšanu.

Katram savs

Guļot lavandas vannā, gara acīm pārskrēju mūsu skapim. Jā, iespējams, ka drēbju manam vīram ir daudz mazāk nekā man, bet kas tās par kastītēm augšējos plauktos? Vairāk par gadžetu spožumu viņu sajūsmina iespēja uz galda izkārtot vismaz simts makšķerāķus un dažādas krāsas plastmasas zivteles. Tiesa, no makšķerēšanas es saprotu maz, taču klausos gana uzmanīgi, tāpēc zinu, ka makšķerēšanai tiek izmantota tikai viena vai divas rūsganā krāsā (par to liecina nolietojums un līdaku zobu pēdas).

Izdzirdējis manu ķiķināšanu vannas istabā, pie durvīm pieklauvē vīrs un, kā lasīdams domas, pasmaida.

“Es pavasarī braukšu makšķerēt,” viņš paziņo.

“Labi, es tajā laikā varētu doties uz Vāciju šopingā!”

Un nu mēs smejamies abi. Mana vājība ir jaunas drēbes, bet arī viņš nav bez vainas. Varbūt es reiz atradīšu citu pielietojumu viņa makšķerāķu kolekcijai… un viņš, kas zina, varbūt nopelnīs lielo naudu, izgudrojot, kā mani atradināt no pirkšanas vēlmes. Bet, kamēr tas nav noticis, es izdomāšu arvien jaunus veidus, kā nemanāmi atjaunot garderobi, bet viņš – kā attaisnot jaunas makšķeres parādīšanos skapī… tajā vietā, kur plānoju nolikt jaunās kurpes.

Teksts: Una Ahuna-Ozola